Current Concept Review
The Pin: An Orthopaedic Transformation
1Oregon Health & Science University, Department of Orthopaedics and Rehabilitation, Portland, OR; 2University of Utah Department of Orthopaedics, Salt Lake City, UT; 3Keck School of Medicine of USC, Department of Orthopaedics, Los Angeles, CA; 4UCSF Benioff Children’s Hospital Oakland – Pediatric Orthopaedics, University of California, San Francisco, Oakland, CA
Correspondence: Matthew Halsey, MD, Oregon Health & Science University, Department of Orthopaedics and Rehabilitation, 3181 Sam Jackson Park Rd., Portland, OR 97239. E-mail: [email protected]
Received: February 24, 2022; Accepted: March 6, 2022; Published: May 1, 2022
DOI: 10.55275/JPOSNA-2022-0039
Volume 4, Number 2, May 2022
Abstract:
The stainless-steel pin has become an important part of operative orthopaedics over the last several decades. It is used in all subspecialties as tool to localize a lesion or to effectuate reduction, as a conduit for implant placement (screw or blade plate), as a guide for making an osteotomy, and as an implant that can stabilize bone whether it is placed in an open or percutaneous manner. While simple and ubiquitous to the craft of orthopaedics, it has revolutionized the care of children with orthopaedic conditions. This review highlights the history and the applications of the simple pin that can assist in obtaining good results in common problems.
Key Concepts:
- Pins can be used as reduction tools and as fixation devices to achieve proper length, alignment, and rotation.
- Pin fixation can often be performed in conjunction with closed reduction and is therefore generally minimally invasive, decreasing the risks associated with open surgeries.
- Pin fixation is a powerful technique that offers pediatric orthopaedists versatility in both fracture care and reconstructive surgeries.
- Major risks of pin fixation are infection, loss of reduction, nonunion/ malunion, nerve injury, and growth arrest. These risks can be mitigated by careful pin placement.
Introduction and History
Pin fixation in children is a relatively recent innovation that has become an accepted technique and considered standard of practice for fewer than 50 years. The rise of pin fixation of fractures has occurred concurrently with the development of fluoroscopy and the move toward minimally invasive surgical techniques within orthopaedic surgery. The prominence of pin fixation has been aided by the general trend away from traction techniques and inpatient admissions for definitive fracture management. Pins are also important for stabilizing bone that has been osteotomized in a variety of reconstruction procedures.
Several key historic figures pioneered the use of pins in modern orthopaedics. Fritz Steinmann (1872-1932) was a Swiss surgeon who developed the eponymous Steinmann pins for the purpose of applying traction to an extremity over a prolonged period of time. Steinmann pins measured 3–5 mm in diameter and were applied with a hand driver. This new technique allowed fine tuning of traction not previously permitted by classic plaster methods. Martin Kirschner (1879-1942) was a German surgeon who built on Steinmann’s traction principles but advocated for the use of thinner (0.7 mm diameter) pins. This technique was determined to be less traumatic and to reduce risk of infection compared to the larger Steinmann pins. Tensioning techniques allowed for thinner wires to be effectively used. These thinner pins became known as Kirschner or K-wires.1
Adalbert Ibrahim Kapandji (1928-2019) was a French orthopaedic surgeon who, in collaboration with L. Sauvé, developed the Sauvé-Kapandji procedure for management of distal radioulnar joint (DRUJ) injuries. This procedure utilized pins for the purpose of arthrodesis for treatment of DRUJ instability and demonstrated the versatility of pins in orthopaedics.2 Specifically, the Sauvé-Kapandji procedure represented an early example of the utility of pins for purposes other than traction. Kapandji also pioneered the Kapandji technique, which utilized pins as reduction aids to facilitate closed reduction of injuries.3
Over the past 50 years, the role of pins within general orthopaedics and, more specifically, within pediatric orthopaedics, has expanded significantly. Currently, pins are used for a variety of purposes in both fracture fixation and in reconstructive procedures. This review highlights some of the important tips, tricks and pitfalls that can be obtained with the simple pin.
Pin Types
There are two broad categories of pins: smooth and threaded. Smooth pins can be easily removed in clinic, though lack of threads results in less bony purchase. Threaded pins are useful for certain types of fractures, such as proximal humerus fractures, though these pins are more difficult to remove in the clinic setting. Threaded pins are helpful in stabilizing bone that could potentially distract after fixation. Examples include closing wedge osteotomies of the foot and pelvic osteotomies. There are two common pin tip types: trocar and diamond. No significant differences have been found with respect to insertion or pull-out between these two tip types.4 Diamond threaded pins potentially slip less during placement due to sharper points, but ultimately, tip type is dependent on surgeon preference.
Pin Fixation in Orthopaedic Trauma
Roles of Pins in Fracture Care
Pin fixation is considered for displaced fractures that cannot safely be stabilized with immobilization alone. Pins may be used both to effect reduction and to provide stabilization. For instance, the Kapandji technique describes the insertion of pins into fracture sites for the purpose of dislodging fragments and manipulating them into reduced positions. Ultimately, once a fracture is reduced, it can be stabilized percutaneously with smooth pins that are removed in clinic after initial healing. This technique was first described in pediatric distal radius fractures.3 Pins can be used in conjunction with casting to hold fractures out to length. The “pin-in-plaster” method was described as a blend of casting with percutaneous pinning and could be considered the original external fixator for the maintenance of reductions that would likely fail with plaster alone.5,6 Finally, pins can be modified and used for internal fixation (Figure 1).
Figure 1. This 3-year-old with osteopetrosis and a femoral neck fracture was treated with K-wire fixation, bending the wires to the shaft and wiring.

General Principles of Pin Fixation in Fractures
In general, pin fixation should be used for fractures that heal quickly in children and young adolescents. Fractures amenable to pin fixation are typically metaphyseal, though intraarticular injuries such as lateral humeral condyle fractures can also be judiciously managed with pin fixation. Selection of pin size should be based on size of the patient, location of the fracture, and the number of pins being used. For example, while 1.6 mm pins may be sufficient for fixation of a supracondylar humerus fracture in one patient, 2.0 mm pins may be needed for a similar injury in a larger, older patient. Pins typically remain in place for 3-5 weeks depending on patient age and injury type. Pin removal can frequently occur in a clinic setting with minimal pain and typically only moderate anxiety. Most providers do not use any sedation or pain control for pin removal. Several studies have found that pain medications prior to pin removal have no impact on anxiety and suggest other types of distraction techniques, such as the use of virtual reality.7,8
Risks of Pin Fixation and Management of Complications
Pin site infection is the most common complication of pediatric fracture percutaneous pinning (Figure 2).
Figure 2. A 7-year-old boy who presented to the Emergency Department complaining of a fever 8 days after closed reduction and percutaneous pinning of a SCHF. He was taken to the operating room for management of this pin site infection. Pins were removed and the fracture was stable under stress. He was placed in a cast for definitive fixation and given antibiotics.

The rate of pin site infections varies widely in the literature. One study by Battle and coauthors estimates pin site infection rate in pediatric patients to be 5.9% for minor infections and 2% for major infections.9 A 2016 study of 369 children estimates the rate of pin site infection in supracondylar fractures to be 0.81%.10 If purulence is noted at pin sites, a pin site infection should be suspected.11 Most pin site infections are superficial and can be treated with removal of the pins, oral antibiotics, and local wound care.12 If a deep infection is suspected, the patient should be monitored closely and should be treated with intravenous antibiotics and/or a return to the operating room for surgical irrigation and debridement as indicated. Possible factors associated with pin site infections include casts that are too loose or those that have gotten wet.13 The risk of infection is small enough that the use of prophylactic antibiotics at the time of pin placement is being questioned and actively investigated.
Percutaneous pinning often involves intraarticular pin placement, and as such, there has historically been concern that intraarticular pins can be associated with a risk of the development of septic arthritis. For this reason, when pins pierce capsule (for example, in lateral condyle or distal femur fractures), it is reasonable to consider burying pins for later removal to minimize this complication. Of note, previous literature has demonstrated no increased risk of septic arthritis even in the setting of pin site infections.14 If septic arthritis does occur, management requires hardware removal and surgical irrigation and debridement.
Loss of Reduction
Sankar and colleagues identified three categories of pin fixation errors: the failure to engage both fracture fragments with at least two pins, the failure to achieve bicortical fixation with at least two pins, and the failure to achieve adequate pin separation at the fracture site.15 If a loss of reduction occurs, repeat reduction and percutaneous pinning should be performed. If the surgeon is unable to achieve a stable percutaneous fixation construct, open reduction internal fixation should be considered. Ultimately, loss of reduction may result in malunion, which may necessitate corrective osteotomy procedures and grafting. Sankar and colleagues found 2.9% of SCHF to have a loss of fixation when treated with CRPP.15
Nerve Injury
Nerve injury is a known, though rare, complication of percutaneous pinning. For example, in the management of supracondylar humerus fractures, ulnar nerve injury can occur. Na and colleagues found that iatrogenic ulnar nerve injury had an increased incidence in patients treated with crossed pins (4.9%) compared to patients treated with lateral pins (0.5%).16 Thus, this risk can be minimized through use of lateral pin only pin fixation constructs.17 When a medial pin is used, inserting the pin with the elbow in extension, using a mini open approach, or using electrical stimulation can minimize risk to the ulnar nerve.18–20 Similar principles can be applied to percutaneous pinning in other anatomic locations. Management of iatrogenic neuropraxia is pin removal and observation. Most cases will resolve within a few months to years.
Growth Arrest
Physeal arrest is a rare complication that can occur after transphyseal pinning. This complication is rarely described in case reports in the literature.21 Growth arrest is more likely a result of the original trauma inflicted to the chondrocytes as opposed to a one or two smooth pins that cross the physis. Yet, most surgeons avoid crossing the physis if at all possible.
Fractures Amenable to Pin Fixation
Supracondylar Humerus
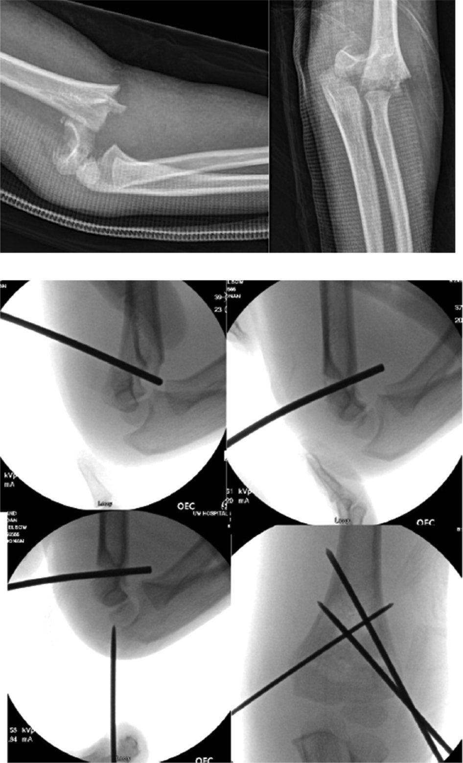
Supracondylar humerus fractures (SCHF) represent the most common type of elbow fracture in children and are estimated to affect 60.3 to 71.8 per 100,000 American children annually.22 Historically, these fractures were treated with olecranon pin traction or cast immobilization in hyperflexion, for which the later resulted in cases of compartment syndrome and later Volkmann’s contracture. Displaced and/or angulated SCHF are now managed with closed reduction and percutaneous pinning. Complications are rare and include superficial infections (1%), nerve injuries (0.3%), pin migration (1.8%), and malunion.23–25 The development of reduction and pin fixation has made an enormous difference in reducing Volkmann’s contracture as well as malunion from lost reduction.
Patients are positioned supine with the affected extremity on a hand table. Reduction is achieved with longitudinal traction, correction of medial/ lateral translational displacement, correction of varus/valgus displacement, and complete flexion with pronation. Once reduced, fixation can be with either 2-3 lateral pins placed in a divergent pattern or a medial pin and one or two lateral pins placed in a crossing configuration (Figure 3).26
Figure 3. In addressing a supracondylar humerus fracture, at least two pins should engage fracture fragments in a bicortical fashion. Pins should be separated by at least 10 mm at the fracture site.

Three lateral pins are typically sufficient to secure Gartland-type III SCHF. While the crossed-pin pattern is mechanically advantageous, medial pin placement is associated with a risk of injury to the ulnar nerve. This risk can be mitigated with a mini-open approach or by driving the pin in with the elbow in extension whilst directly palpating the medial epicondyle. Medial pins are especially useful when the fracture exits proximally in the medial metaphyseal flare.
Pins can also be used to effectuate a reduction via the Kapandji method or with temporary intraoperative olecranon pin traction (Figures 4 and 5).
Figure 4. This 9-year-old with a supracondylar humerus fracture was reduced with a posteriorly placed K-wire as a joy-stick. The medial pin was placed through a small incision to avoid ulnar nerve injury.

Figure 5. This 12-year-old with a supracondylar humerus fracture required a temporarily placed olecranon pin to gain traction while a Kapandji wire leveraged the fracture to a reduced position. Medial pins were placed through an incision and the pins were cut off below the skin. Adolescent fractures often require more than 3 weeks of pin fixation and are at increased risk of infection. These pins were buried to prevent pin tract infection and possible joint sepsis.

General Pin Management
Pins should be bent 8-10 mm from the skin and then cut 8-10 mm from the bend to prevent migration under the skin (Figure 6A–D).
Figure 6. Pins should be bent 8-10 mm from the skin (A-C) and then cut 8-10 mm from the bend (D). Wrap 1” x 2-2/3” strips of Xeroform around each individual pin 1-1/2 times (E). Sterile felt padding or split gauze should be placed between the bent pin and the skin to ensure adequate padding (F).

After the pin has been bent and cut, rotate the pin in the bone to feel for resistance. This resistance suggests good bone purchase. If there are any doubts about pin engagement, check the position of the pin and consider replacement if indicated. Fluoroscopy can be used after bending and cutting of wires to verify positioning. Local anesthetic agents may be injected around pin sites.27
Once the pins have been placed and adequate positioning has been verified via fluoroscopy, wrap 1” x 2-2/3” strips of Xeroform around each individual pin 1-1/2 times (Figure 6E). The purpose of the Xeroform is two-fold: to prevent pins from migrating into the skin and to lower the risk of infection. Sterile felt padding or split gauze should be placed between the bent pin and the skin to ensure adequate padding and to decrease pin loosening as swelling resolves (Figure 6F).
If a cast gets wet, the surgeon should have a low threshold to remove the cast due to risk of pin tract infection. The pin sites should then be evaluated sterilely. Betadine should be applied to the pin sites, new dressings applied, and a new cast placed. The clinician should consider prescribing a short course of oral antibiotics if indicated by the appearance of the pins, though there is no literature that has demonstrated the necessity of this practice.
Pins should be removed as soon as possible, but certainly within 4-5 weeks, to limit risk of infection. Pin removal generally takes place in the office, and sedation and/or anxiolytics are typically not needed.8 Key tip: It is always a good idea to remove medial pins first as an anxious child will adduct their arm and block access to it.
Supracondylar fracture malunion in children commonly presents as a cubitus varus deformity. This deformity is characterized by varus, hyperextension, and internal rotation of the distal humerus. This deformity is associated with cosmetic and biomechanical consequences, and treatment is a corrective osteotomy. This is achieved through exposure of the lateral supracondylar ridge. K-wires are then inserted as guide pins at the site of the planned closing wedge osteotomy. After the osteotomy is achieved, two K-wires are inserted through the lateral epicondyle and across the osteotomy site; pre-positioning of the fixation K-wires may facilitate quick stabilization of the distal humerus fragment after wedge resection. An additional crossing K-wire may be inserted from medial to lateral.28
Proximal Humerus
Percutaneous pinning with either closed reduction or open reduction via deltopectoral approach has been shown to be a safe, reliable method of treating older pediatric patients with displaced proximal humerus fractures.29,30 Percutaneous pinning has been shown to be associated with shorter surgeries, decreased estimated blood loss, and lower rates of return to the operating room when compared to intramedullary nailing.31 While higher rates of complications, including pin site infection and pin migration, were found in percutaneous pinning, no differences were noted in loss of reduction.31
Patients are placed in the modified beach chair position or supine with elevation of the affected shoulder on a radiolucent table. Closed reduction is attempted, frequently prior to prepping the patient, with traction, abduction, and rotation with counter-traction; obtaining appropriate length should be the main focus of the reduction. If this is unsuccessful, open reduction through the deltopectoral approach is performed. Two 2.8-4.0 mm Steinmann pins, threaded or unthreaded, are advanced from lateral to medial across the fracture site and into the humeral epiphysis (Figure 7).
Figure 7. AP and lateral fluoroscopy images of a 16-year-old girl status post closed reduction and percutaneous pinning of a left proximal humerus fracture.

Of note, pins are placed distally to avoid the axillary nerve. Orthogonal views of the proximal humerus to assure proper pin placement and reasonable fracture reduction is paramount; when difficult, an axillary view of the shoulder is most helpful.32 The surgeon may consider burying pins in the proximal humerus.
Lateral Condyle Humerus
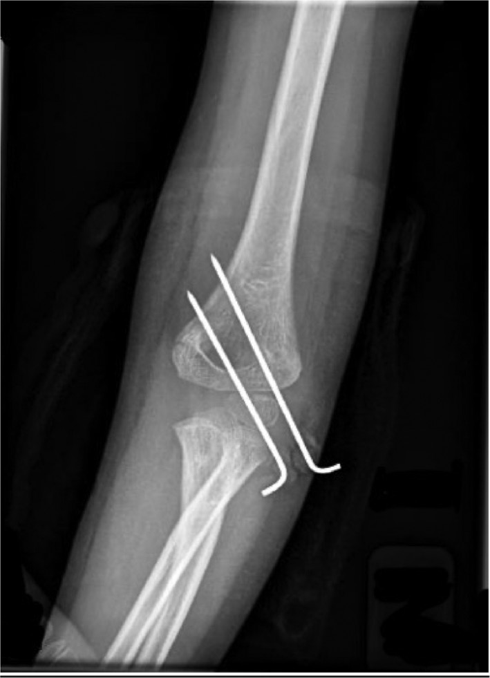
Lateral condyle humerus fracture (LCHF) is the second most common pediatric elbow injury. These injuries are intraarticular and are inherently unstable as the lateral condyle serves as the common extensor origin, which acts as a deforming force, resulting in nonunion of these injuries (Figure 8).33 As such, displaced LCHF are indicated for surgical fixation; percutaneous pinning is associated with shorter operating room times, lower risk of avascular necrosis, lower risk of damage to neurovascular structures, and less soft tissue trauma compared to open reduction and internal fixation.34,35
Figure 8. This child with a lateral condyle fracture underwent percutaneous pin fixation. After the first pin is placed, a cannulated drill bit is reversed and compresses the fracture while a second K-wire is placed divergently to hold the fracture compressed.

Fractures that are displaced greater than 2 mm or those with significant intraarticular involvement are indicated for surgical fixation. Once surgically identified, while preserving the posterior soft tissue attachments, the fragment can be reduced with the use of a K-wires as a joystick while visualizing the joint surface. Once reduced, at least two K-wires are placed bicortically: at least two lateral-to-medial column pins, perpendicular to the fracture line, may be used; alternatively, one may be placed transversely through the trochlea while the other is placed from the lateral column into the medial column36 (Figure 9).
Figure 9. Lateral condyle fractures have a tendency to displace due to pull of extensor mass. Tension band fixation with an absorbable suture can augment pin fixation.

Olecranon
Olecranon fractures are uncommon in the pediatric population and can frequently be managed nonoperatively with good results.37 Generally, intraarticular fractures displaced greater than 2 mm are treated operatively, and options for operative management include tension band wiring or suturing, screw fixation, plate osteosynthesis, and percutaneous pinning.38 Tension band wiring is associated with high rates of symptomatic hardware, often necessitating reoperation for hardware removal.39,40 In pediatric patients younger than 10, tension band wiring is uncommon, and most surgeons use parallel partially threaded cannulated screws. Percutaneous pins are also an option.
With the patient in a supine position, the fracture is reduced either percutaneously or under direct visualization through a standard open approach. Two K-wires are passed percutaneously. The patient is then immobilized in a cast in 80 degrees of flexion.
Gortzak and coauthors proposed percutaneous pinning of olecranon fractures in conjunction with tension band suturing as a technique to address pediatric olecranon fractures while minimizing hardware complications. In this technique, an absorbable suture is tied in a figure-of-eight position, simulating tension band wiring.41 Percutaneous pins can also be used to treat the proximal ulna component of a Monteggia-type fracture (Figure 10).
Figure 10. This four-year-old presented with a fracture dislocation of her elbow which was irreducible in the OR. A threaded Steinmann pin in the olecranon facilitated reduction. The olecranon fracture was pinned percutaneously with a drill guide compressing cartilaginous apophysis. Follow-up x-rays showed an excellent result. Multiple K-wires were placed divergently to prevent displacement.

Proximal Radius
Radial neck fractures are rare injuries in children, are typically minimally displaced and/or angulated, and can usually be managed nonoperatively.42 Angulation of greater than 60 degrees is an indication for reduction. Worse outcomes have been found in older children, those with more severe fractures, and those who undergo open reduction compared to closed reduction and percutaneous pinning.43 Thus, while open reduction has been shown to be indicated in the setting of persistent displacement, closed reduction alone or closed reduction and stabilization is the treatment of choice for this injury.44
K-wires can be used for both reduction purposes and for percutaneous fixation in the management of pediatric radial neck fractures. A K-wire may be inserted into the fractured portion of the radial neck, and reduction may be achieved through leverage of the K-wire in conjunction with direct pressure on the radial head with the elbow in flexion or with the Métaizeau technique, which utilizes elastic stable intramedullary nailing (Nancy nailing) for reduction (Figure 11).45,46 Fracture fixation can then be achieved with either percutaneous pin fixation or with a retrograde elastic nail.47,48
Figure 11. The tip of a 2.4 mm Steinmann pin is bent and used to lever the radial head back. The radius can be casted or stabilized with a retrograde nail if the reduction is unstable.

Distal Radius
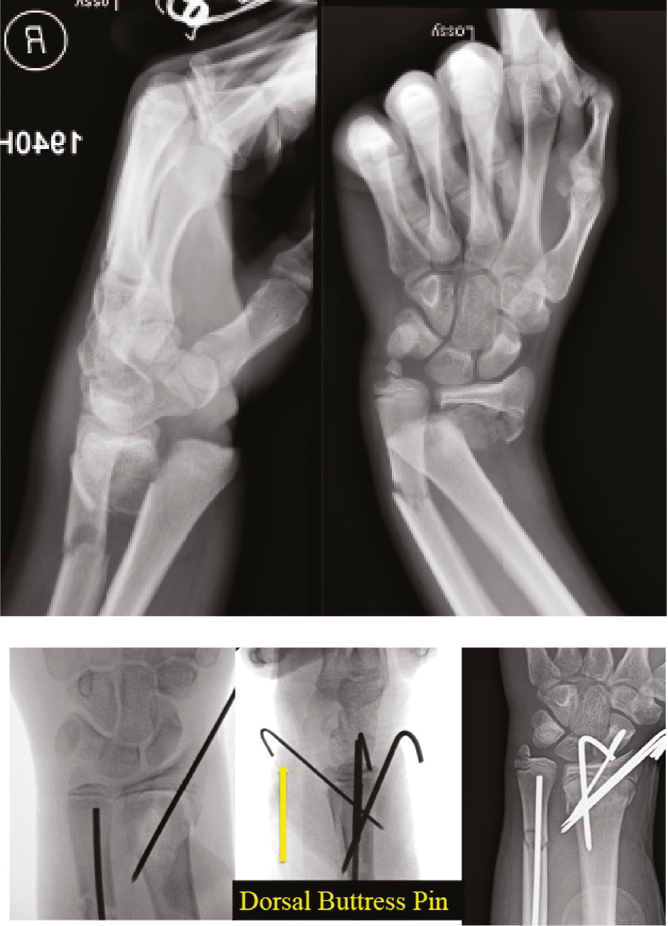
Distal radius fractures are the most common pediatric fracture seen in the emergency department and comprise nearly one quarter of all pediatric fractures.49 Several randomized controlled trials have demonstrated closed reduction and percutaneous pinning to be effective and safe in managing pediatric distal radius fractures with unacceptable displacement after closed reduction.50,51
Closed manipulation in the operating room followed by percutaneous placement of 1-2 1.6 mm K-wires traversing the fracture site is the classic method of pinning these injuries. The pins are placed from distal-to-proximal and radial-to-ulnar using an oscillating driver to minimize risk of injury to the superficial radial nerve. Placement of wires dorsally is also an option. The Kapandji technique has been shown to be effective in addressing distal radius fractures that are difficult to reduce. A K-wire is inserted between fracture fragments to lever the fracture to achieve reduction while a different K-wire or two are placed to secure fixation; alternatively, reduction may be performed with a Freer elevator in this way.52,53 (Figure 12)
Figure 12. A 14-year-old snowboarder with displaced comminuted distal radius and ulna fractures. The comminuted radius required several pins, including a dorsal buttress pin that while not crossing the fracture, is a block to displacement.

Hand Phalanx
The incidence of pediatric phalangeal fractures spikes in early adolescence and corresponds with initiation of participation in contact sports.54 Salter-Harris type II fractures of the proximal phalanx are the most common type of phalangeal injury in children due to the intrinsic weakness of the physis compared to its surrounding structures.54 Surgical treatment is indicated for displaced intraarticular or unstable fractures (Figure 13).
Figure 13. A 7-year-old with an intraarticular fracture that required closed reduction and percutaneous reduction and pinning.

In the operating room, closed reduction is attempted. If successful, stability is then assessed by ranging the finger. If the fracture is determined to be unstable, percutaneous fixation can be achieved through two 0.9 mm K-wires, one ulnar and one radial, that are run in an antegrade and crossed fashion. Patients are subsequently casted.55 Wires can also be used to osteotomize or reduce phalangeal neck fractures (Figure 14).
Figure 14. This 5-year-old sustained a phalangeal neck fracture 10 days prior to clinic appointment. The fracture was partially healed and closed reduction in the OR was not possible. He underwent percutaneous leveraging of the fracture and stabilization with dorsal buttress pin.

Supracondylar Femur Fracture
Though some pediatric distal femur fractures are purely metaphyseal, those that involve the physis are associated with a high rate of physeal arrest resulting in limb shortening and angular deformity.56,57 Closed reduction and casting are associated with a high rate of failure.58 Percutaneous pinning is an effective technique for stabilizing these injuries; fortuitously, transphyseal pinning is not independently associated with growth arrest.59
Closed reduction and percutaneous pin fixation can occur in either the supine or the prone position.60 Percutaneous fixation construct consists of two, crossed, transphyseal 3.2-4.5 mm Steinmann pins which may be placed antegrade or retrograde (Figure 15).
Figure 15. A 9-year-old football player sustained a Salter-Harris 1 distal femur fracture. Closed reduction and crossed pin fixation were performed. The pins were likely placed through the joint capsule; thus, to avoid pin tract infection that could lead to septic arthritis, they were cut off below the skin. These pins were removed in the operating room at 5 weeks after injury.

Proximal Tibia Metaphysis
Proximal tibial metaphyseal injuries typically occur in children between 3 and 6 years of age and can lead to the development of a valgus deformity.61 Most of the time, the resulting angular deformity occurs within the first 12 months following injury and will generally spontaneously correct within 3 years.62 Early corrective tibial osteotomy is associated with a high rate of recurrence; therefore, most deformities are managed with observation until puberty or with a epiphysiodesis.61 Closed reduction in the operating room is indicated for fractures of the proximal tibial metaphysis with a goal of anatomic reduction. Percutaneous fixation should be used in unstable injuries to ensure maintenance of reduction. Pins may be placed antegrade or retrograde.
Distal Tibia Metaphysis
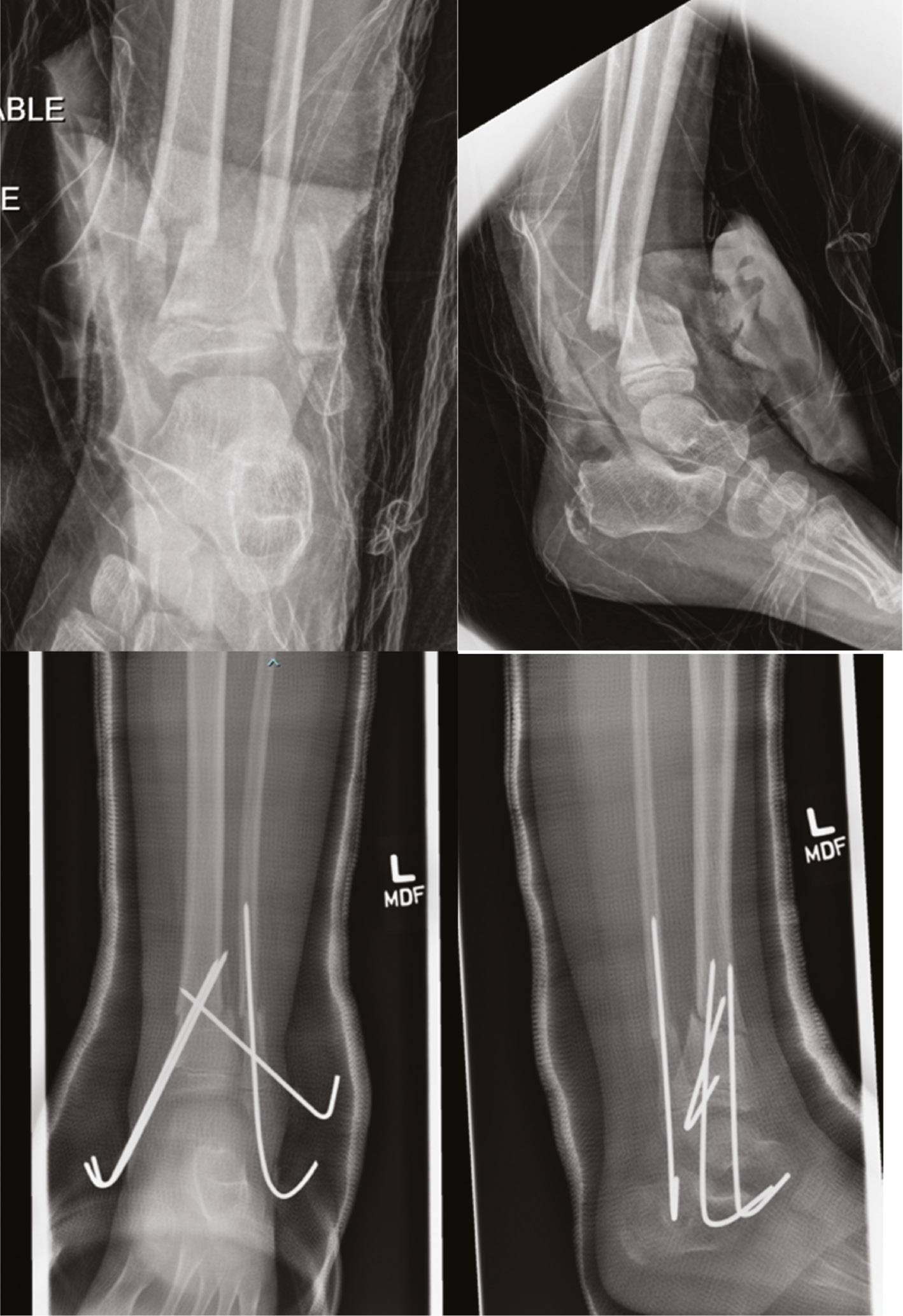
Distal tibial fractures, especially in older children, are at risk of nonunion, malunion, and the development of varus angular deformity.63 There are three equivalent options for percutaneous pin fixation of pediatric distal tibia fractures: parallel retrograde pins through the medial malleolus and exiting laterally, parallel antegrade pins through the medial tibial cortex and exiting at the fibular notch, and crossed pins with one retrograde pin through the medial malleolus and one antegrade pin through the medial tibial cortex.64 In general, pins that start in the metaphysis are easier to place and position. Pins 2.4-3.2 mm are recommended for fixation using an oscillating technique to reduce the risk of nerve injury (Figure 16).
Figure 16. A 7-year-old boy presenting after a pedestrian verses auto incident with left open distal tibia and fibula fractures status post open reduction and pin fixation.

Foot Phalanx
Pediatric toe fractures rarely require operative management and can generally be managed in a short-leg cast or with buddy taping.65 Similar to hand phalanx fractures, Salter-Harris II type injuries are the most common injuries, and surgical treatment should be considered for fractures that are unstable. Closed or open reduction with percutaneous pinning is indicated for substantially angulated or intraarticular (involving more than 25% of the articular surface/more than 2 mm of displacement) fractures of the proximal phalanx of the great toe.66 Toe pinning is performed in a retrograde fashion. Manual traction is applied to the toe and a 1.6 mm K-wire is inserted plantar to the toenail, through the DIP, PIP, and MTP joints and across the fracture site. It is acceptable to place pins through articular cartilage in pinning these fractures.
Examples of Reconstruction with Pin Fixation
Acetabular Osteotomies
Acetabular osteotomies are surgical procedures developed to address hip dysplasia. There are a number of different types of acetabular osteotomies that utilize pin fixation including Salter, Triple, and Ganz. Each of these procedures involves making a series of cuts in the acetabulum to achieve better femoral head coverage and ensure a more concentric hip joint.
Pin fixation is integral in these surgeries. Steinmann pins are used to provisionally or definitively stabilize acetabular fragments after osteotomy and re-positioning. In osteotomies requiring graft (typically iliac crest autograft) such as a Salter osteotomy, K-wires are used to stabilize the graft to the proximal and distal iliac fragments. Typically, 2 mm fully threaded K-wires are used in younger patients and 3.5 mm fully threaded K-wires are used in older patients. K-wires are generally removed 6-12 months postoperatively.67
Foot Reconstruction
Talonavicular pins can be used in pediatric vertical talus foot deformity or clubfoot surgery for those patients who have failed Ponseti casting. Pin fixation may be used in calcaneal neck lengthening procedures. In older children, larger pins may be used to yield a lateral closing wedge valgus-producing osteotomy in addition to calcaneal neck lengthening. Pins can also be used as guides to precisely orient cuts by using them as intraosseous saw guides.
Pins are utilized to a great degree in foot surgery as a means to effect correction (Figure 17) and to stabilize the foot while it heals.
Figure 17. A 17-year-old boy with arthrogryposis has a fixed cavus deformity of 44 degrees. A midfoot osteotomy was planned and executed by placing two K-wires in the midfoot at 40 degrees to each other. The trajectory of the pins was measured on PACS prior to osteotomy, and the K-wires were cut off in order to act as an interosseus guide for the saw blade. Smooth pins maintained alignment until healed.

In general, smooth pins are used to stabilize opening wedge osteotomies as they can be removed in clinic without sedation. Threaded pins are needed for closing wedge osteotomies as they can keep the bone edges opposed; unfortunately, these need removal in the operating room (Figure 18).
Figure 18. A five-year-old with a history of clubfoot and with residual metatarsus adductus underwent opening wedge osteotomy of the first cuneiform with allograft. A closing wedge cuboid osteotomy was planned with smooth K-wires as interosseus guides and the osteotomy was held closed with threaded K-wires.

Pin fixation lends versatility to many pediatric foot reconstructive procedures.
Other Intraoperative Uses of Pins
Microfracture is a surgical technique that is used to address articular cartilage defects in the pediatric population. In adults, microfracture has been shown to be effective in management of full thickness chondral defects in the long-term.68 This technique has also been shown to be effective in the pediatric population.69 Microfracture can be achieved through use of drills, awls, or K-wires.
Conclusion
Pins can be used in pediatric orthopaedics and lends versatility to fracture care and reconstructive procedures. Pin fixation is safe and can be used in conjunction with closed reduction to minimize the risks of larger open procedures. Pins are well tolerated and the incidence of major complications including infection, loss of fixation, nonunion/ malunion, and damage to surrounding structures is low. Understanding the indications for pin fixation and developing the skillset to perform this technique safely is an essential skill in pediatric orthopaedic surgery. As orthopaedic surgery continues to move toward more minimally invasive procedures, understanding the fundamentals of pinning will allow surgeons to apply this technique in novel ways.
Disclaimer
No funding or financial support was received for this project. The authors have no conflicts of interest to report.
References
- Meals C, Wang J. Origins of eponymous orthopaedic equipment. Clin Orthop Relat Res. 2010;468:1682-1692.
- Lluch A. The sauvé-kapandji procedure. J Wrist Surg. 2013;2:33-40.
- Kamiloski M, Todorovik L, Memeti S, et al. The kapandji technique of closed reduction using sommer - pins in the treatment of completely dislocated fractures of the distal radius in children. Open Access Maced J Med Sci. 2018;6:330–335.
- Graebe A, Tsenter M, Kabo JM, et al. Biomechanical effects of a new point configuration and a modified cross-sectional configuration in Kirschner-wire fixation. Clin Orthop Relat Res. 1992;283:292-295.
- Green DP. Pins and plaster treatment of comminuted fractures of the distal end of the radius. J Bone Joint Surg Am. 1975;57:304-310.
- Chen C-E, Juhn R-J, Ko J-Y. Treatment of distal radius fractures with percutaneous pinning and pin-in-plaster. Hand N Y N. 2008;3:245-250.
- Sorenson SM, Hennrikus W. Pain during office removal of K-wires from the elbow in children. J Pediatr Orthop. 2015;35:341-344.
- Lim KBL, Tan SS, Abdullah SNS, et al. Percutaneous pin removal in the outpatient clinic--do children require analgesia?: a randomized controlled trial. J Bone Joint Surg Am. 2014;96:597-602.
- Battle J, Carmichael KD. Incidence of pin track infections in children’s fractures treated with Kirschner wire fixation. J Pediatr Orthop. 2007;27:154-157.
- Combs K, Frick S, Kiebzak G. Multicenter study of pin site infections and skin complications following pinning of pediatric supracondylar humerus fractures. Cureus. 2016;8:e911.
- Omid R, Choi PD, Skaggs DL. Supracondylar humeral fractures in children. J Bone Joint Surg Am. 2008;90:1121-1132.
- Parikh SN, Lykissas MG, Roshdy M, et al. Pin tract infection of operatively treated supracondylar fractures in children: long-term functional outcomes and anatomical study. J Child Orthop. 2015;9:295-302.
- Tosti R, Foroohar A, Pizzutillo PD, et al. Kirschner wire infections in pediatric orthopaedic surgery. J Pediatr Orthop. 2015;35:69-73.
- Murgai RR, Compton E, Illingworth KD, et al. The incidence of pin tract infections and septic arthritis in percutaneous distal femur pinning. J Pediatr Orthop. 2019;39:e462-e466.
- Sankar WN, Hebela NM, Skaggs DL, et al. Loss of pin fixation in displaced supracondylar humeral fractures in children: causes and prevention. J Bone Joint Surg Am. 2007;89:713-717.
- Na Y, Bai R, Zhao Z, et al. Comparison of lateral entry with crossed entry pinning for pediatric supracondylar humeral fractures: a meta-analysis. J Orthop Surg Res. 2018;13:68.
- Slobogean BL, Jackman H, Tennant S, et al. Iatrogenic ulnar nerve injury after the surgical treatment of displaced supracondylar fractures of the humerus: number needed to harm, a systematic review. J Pediatr Orthop. 2010;30:430-436.
- Shtarker H, Elboim-Gabyzon M, Bathish E, et al. Ulnar nerve monitoring during percutaneous pinning of supracondylar fractures in children. J Pediatr Orthop. 2014;34:161-165.
- Brown IC, Zinar DM. Traumatic and iatrogenic neurological complications after supracondylar humerus fractures in children. J Pediatr Orthop. 1995;15:440-443.
- Babal JC, Mehlman CT, Klein G. Nerve injuries associated with pediatric supracondylar humeral fractures: a meta-analysis. J Pediatr Orthop. 2010;30:253-263.
- Horn J, Kristiansen LP, Steen H. Partial physeal arrest after temporary transphyseal pinning—a case report. Acta Orthop. 2008;79:867-869.
- Holt JB, Glass NA, Shah AS. Understanding the epidemiology of pediatric supracondylar humeral fractures in the United States: identifying opportunities for intervention. J Pediatr Orthop. 2018;38:e245-e251.
- Abzug JM, Herman MJ. Management of supracondylar humerus fractures in children: current concepts. J Am Acad Orthop Surg. 2012;20:69-77.
- Ladenhauf HN, Schaffert M, Bauer J. The displaced supracondylar humerus fracture: indications for surgery and surgical options: a 2014 update. Curr Opin Pediatr. 2014;26:64-69.
- Bashyal RK, Chu JY, Schoenecker PL, et al. Complications after pinning of supracondylar distal humerus fractures. J Pediatr Orthop. 2009;29:704-708.
- Vuillermin C, May C, Kasser J. Closed reduction and percutaneous pinning of pediatric supracondylar humeral fractures. JBJS Essent Surg Tech. 2018;8:e10.
- Georgopoulos G, Carry P, Pan Z, et al. The efficacy of intra-articular injections for pain control following the closed reduction and percutaneous pinning of pediatric supracondylar humeral fractures. J Bone Joint Surg Am. 2012;94:1633-1642.
- Azzam W, Catagni MA, Ayoub MA, et al. Early correction of malunited supracondylar humerus fractures in young children. Injury. 2020;51:2574-2580.
- Chaus GW, Carry PM, Pishkenari AK, et al. Operative versus nonoperative treatment of displaced proximal humeral physeal fractures: a matched cohort. J Pediatr Orthop. 2015;35:234-239.
- Kraus T, Hoermann S, Ploder G, et al. Elastic stable intramedullary nailing versus Kirschner wire pinning: outcome of severely displaced proximal humeral fractures in juvenile patients. J Shoulder Elbow Surg. 2014;23:1462-1467.
- Hutchinson PH, Bae DS, Waters PM. Intramedullary nailing versus percutaneous pin fixation of pediatric proximal humerus fractures: a comparison of complications and early radiographic results. J Pediatr Orthop. 2011;31:617-622.
- Swarup I, Hughes MS, Bram JT, et al. Percutaneous pinning of pediatric proximal humeral fractures. JBJS Essent Surg Tech. 2019;9:e33.1-6.
- Flynn JC. Nonunion of slightly displaced fractures of the lateral humeral condyle in children: an update. J Pediatr Orthop. 1989;9:691-696.
- Silva M, Cooper SD. Closed reduction and percutaneous pinning of displaced pediatric lateral condyle fractures of the humerus: a cohort study. J Pediatr Orthop. 2015;35:661-665.
- Xie L, Wang J, Deng ZQ, et al. Treatment of pediatric lateral condylar humerus fractures with closed reduction and percutaneous pinning. BMC Musculoskelet Disord. 2020;21:707.
- Abzug JM, Dua K, Kozin SH, et al. Current concepts in the treatment of lateral condyle fractures in children. JAAOS - J Am Acad Orthop Surg. 2020;28:e9-e19.
- Graves SC, Canale ST. Fractures of the olecranon in children: long-term follow-up. J Pediatr Orthop. 1993;13:239-241.
- Holme TJ, Karbowiak M, Arnander M, et al. Paediatric olecranon fractures: a systematic review. EFORT Open Rev. 2020;5:280-288.
- Macko D, Szabo RM. Complications of tension-band wiring of olecranon fractures. J Bone Joint Surg Am. 1985;67:1396-1401.
- Romero JM, Miran A, Jensen CH. Complications and re-operation rate after tension-band wiring of olecranon fractures. J Orthop Sci. 2000;5:318-320.
- Gortzak Y, Mercado E, Atar D, et al. Pediatric olecranon fractures: open reduction and internal fixation with removable Kirschner wires and absorbable sutures. J Pediatr Orthop. 2006;26:39-42.
- Pring ME. Pediatric radial neck fractures: when and how to fix. J Pediatr Orthop. 2012;32(Suppl 1):S14-521.
- Zimmerman RM, Kalish LA, Hresko MT, et al. Surgical management of pediatric radial neck fractures. J Bone Joint Surg Am. 2013;95:1825-1832.
- Falciglia F, Giordano M, Aulisa AG, et al. Radial neck fractures in children: results when open reduction is indicated. J Pediatr Orthop. 2014;34:756-762.
- Qiao F, Jiang F. Closed reduction of severely displaced radial neck fractures in children. BMC Musculoskelet Disord. 2019;20:567.
- Choi, W-S, Han K-J, Lee GE, et al. Stepwise percutaneous leverage technique to avoid posterior interosseous nerve injury in pediatric radial neck fracture. J Orthop Trauma. 2017;31:e151-e157.
- Metaizeau JP, Lascombes P, Lemelle JL, et al. Reduction and fixation of displaced radial neck fractures by closed intramedullary pinning. J Pediatr Orthop. 1993;13:355-360.
- Eberl R, Singer G, Fruhmann J, et al. Intramedullary nailing for the treatment of dislocated pediatric radial neck fractures. Eur J Pediatr Surg. 2010;20:250-252.
- Naranje SM, Erali RA, Warner WC, et al. Epidemiology of pediatric fractures presenting to emergency departments in the United States. J Pediatr Orthop. 2016;36:e45-e48.
- McLauchlan GJ, Cowan B, Annan IH, et al. Management of completely displaced metaphyseal fractures of the distal radius in children. a prospective, randomised controlled trial. J Bone Joint Surg Br. 2002;84:413-417.
- Miller BS, Taylor B, Widmann RF, et al. Cast immobilization versus percutaneous pin fixation of displaced distal radius fractures in children: a prospective, randomized study. J Pediatr Orthop. 2005;25:490-494.
- Satish BR J, Vinodkumar M, Suresh M, et al. Closed reduction and K-wiring with the Kapandji technique for completely displaced pediatric distal radial fractures. Orthopedics. 2014;37:e810-e816.
- Valisena S, Gonzalez JG, Voumard NM, et al. Treatment of paediatric unstable displaced distal radius fractures using Kapandji technique: a case series. Eur J Orthop Surg Traumatol. 2019;29:413-420.
- Abzug JM, Dua K, Sesko Bauer A, et al. Pediatric phalanx fractures. Instr Course Lect. 2017;66:417-427.
- Boyer JS, London DA, Stepan JG, et al. Pediatric proximal phalanx fractures: outcomes and complications after the surgical treatment of displaced fractures. J Pediatr Orthop. 2015;35:219-223.
- Lombardo SJ, Harvey JP. Fractures of the distal femoral epiphyses. factors influencing prognosis: a review of thirty-four cases. J Bone Joint Surg Am. 1977;59:742-751.
- Riseborough EJ, Barrett IR, Shapiro F. Growth disturbances following distal femoral physeal fracture-separations. J Bone Joint Surg Am. 1983;65:885-893.
- Eid AM, Hafez MA. Traumatic injuries of the distal femoral physis. retrospective study on 151 cases. Injury. 2002;33:251-255.
- Garrett BR, Hoffman EB, Carrara H. The effect of percutaneous pin fixation in the treatment of distal femoral physeal fractures. J Bone Joint Surg Br. 2011;93:689-694.
- Su Y, Nan G. ORIF with percutaneous cross pinning via the posterior approach for paediatric widely displaced supracondylar femoral fractures. Injury. 2016;47:1242-1247.
- Setter KJ, Palomino KE. Pediatric tibia fractures: current concepts. Curr Opin Pediatr. 2006;18:30-35.
- Zionts LE, MacEwen GD. Spontaneous improvement of post-traumatic tibia valga. J Bone Joint Surg Am. 1986;68:680-687.
- Briggs TW, Orr MM, Lightowler CD. Isolated tibial fractures in children. Injury. 1992;23:308-310.
- Brantley J, Majumdar A, Jobe JT, et al. A biomechanical comparison of pin configurations used for percutaneous pinning of distal tibia fractures in children. Iowa Orthop J. 2016;36:133-137.
- Petnehazy T, Schalamon J, Hartwig C, et al. Fractures of the hallux in children. Foot Ankle Int. 2015;36:60-63.
- Kay RM, Tang CW. Pediatric foot fractures: evaluation and treatment. J Am Acad Orthop Surg. 2001;9:308-319.
- Selberg CM, Chidsey B, Skelton A, et al. Pelvic osteotomies in the child and young adult hip: indications and surgical technique. JAAOS - J Am Acad Orthop Surg. 2020;28:e230-e237.
- Steadman JR, Briggs KK, Rodrigo JJ. et al. Outcomes of microfracture for traumatic chondral defects of the knee: average 11-year follow-up. Arthroscopy. 2003;19:477-484.
- Salzmann GM, Sah B-R, Schmal H, et al. Microfracture for treatment of knee cartilage defects in children and adolescents. Pediatr Rep. 2012;4:e21.