Current Concept Review


The Etiology and Management of Slipped Capital Femoral Epiphysis

Shamrez Haider, BS1,2; David A. Podeszwa, MD1,2; William Z. Morris, MD1,2

1Scottish Rite for Children, Dallas, TX; 2University of Texas Southwestern Medical Center, Dallas, TX

Correspondence: William Z. Morris, MD, Scottish Rite for Children, 2222 Welborn St., Dallas, TX. E-mail: [email protected]

Received: September 16, 2022; Accepted: October 12, 2022; Published: November 1, 2022

DOI: 10.55275/JPOSNA-2022-589

Volume 4, Number 4, November 2022

Abstract

We review insights into slipped capital femoral epiphysis (SCFE) gained during the last decade and updates to current management practices. Anatomic and clinical studies recently demonstrate that the epiphysis rotates around an epiphyseal tubercle during displacement. Clinical endocrinopathies contribute to the pathogenesis of SCFE, and recently the effects of subclinical endocrine derangements have been demonstrated to play a role in SCFE. Patients with positive age-weight or age-height testing are recommended to undergo further endocrine workup due to the high likelihood of atypical SCFE in these patients. In situ pinning with two screws is mainly reserved for unstable or severe slips, while one-screw fixation remains the standard for mild-moderate slips. Contralateral prophylactic pinning is typically considered in those patients with an atypical slip, relative skeletal immaturity, or aberrant radiographic parameters such as posterior epiphyseal tilt or sloping angle. Novel intraoperative epiphyseal perfusion monitoring has provided insight into reducing complications such as avascular necrosis and has shown the benefit of intracapsular hematoma decompression for unstable SCFE. Open surgical management via the modified Dunn procedure should be cautiously considered, as high rates of osteonecrosis have been reported due to the vulnerable blood supply of the proximal femoral head.

Key Concepts

  • The epiphyseal tubercle acts as a prominent stabilizer of the proximal femoral epiphysis and pivot point for a posterior rotation and displacement of the epiphysis during SCFE.
  • Hyperinsulinism and increased leptin concentrations lead to biochemical alterations of the proximal femoral physis that contribute to physeal failure.
  • Further endocrine and metabolic workup is needed for patients with a positive age-weight or age-height test due to the high likelihood of atypical SCFE.
  • Contralateral prophylactic pinning should be considered in patients with atypical SCFE, relative skeletal immaturity, or abnormal contralateral posterior epiphyseal tilt or sloping angle.
  • Open reduction via modified Dunn procedure should be reserved for experienced high-volume surgeons to mitigate high rates of associated osteonecrosis.

Introduction

Our understanding of Slipped Capital Femoral Epiphysis (SCFE) has drastically changed over the last decade. The rotational mechanism of epiphyseal displacement, the importance of epiphyseal morphology and its role in SCFE, and how endocrine and metabolic derangements contribute to physeal failure have all been recently studied. However, their implications in the diagnosis and management have not been well-summarized. This review seeks to collect and present the recent research in the pathophysiology of SCFE and how these discoveries may affect diagnosis and management.

Epidemiology

SCFE remains one of the most common pediatric hip conditions worldwide with a rate of 10 per 100,000, with further estimations indicating SCFE will increase in prevalence due to changing risk factors, including increasing obesity.1,2 It typically affects males with slightly higher rates, with a Female:Male ratio of 1.4:2.0 and an average age at diagnosis of 12 years. Typical presentations are between 10–16 years, with atypical SCFE presenting in a trimodal distribution with peaks outside this typical range.3,4 Bilateral SCFE is present in nearly 20-25% of presentations and is more heavily associated with underlying endocrinopathy.4 Additionally, the rates of slip in the contralateral hip at a later presentation are estimated to be between 15-36%, with an increased association of contralateral slip in patients with underlying risk factors. Nearly 90% of contralateral slips occur within 18 months of the original injury, highlighting the importance of parent and patient education and prophylactic pinning of the unaffected hip in high-risk patients.5,6

Pathophysiology

Although SCFE is one of the most common adolescent hip conditions, our understanding of the mechanical and endocrine factors influencing SCFE continues to evolve. The landscape of the pathophysiology of SCFE has changed dramatically in the last decade, with new discoveries regarding morphological features of the capital femoral epiphysis and endocrine abnormalities that all play into the multifactorial etiology of SCFE.

The proposed etiology of SCFE relies on the nature of shearing forces across a rapidly changing physis during pubertal growth. These forces create a failure in the proximal femoral physis, leading to a displacement of the femoral neck relative to the epiphysis. Abundant literature has demonstrated that obesity is one of the strongest risk factors, as this increases the shear stress on the physis.710 However, a recent study of the etiology of SCFE has suggested that SCFE occurs through a rotational mechanism based on epiphyseal morphology and highlighted the role of both clinical and subclinical endocrinopathy as risk factors.

Epiphyseal Morphology

The epiphyseal tubercle was first described by Tayton et al.11 as a small bony prominence on the superior posterior portion of the metaphyseal surface of epiphysis that keys into a fossa on the metaphysis (Figure 1).

Figure 1. 3D printed models of the adolescent proximal femoral epiphysis and metaphysis. (A) The epiphyseal tubercle is a bony prominence on the posterolateral epiphysis that projects down to “key in” to a corresponding metaphyseal fossa. This tubercle provides stability to the physis to resist shear stress. Growing evidence suggests that in slipped capital femoral epiphysis, the epiphysis rotates around the tubercle like a hinge. (B) As the hip matures through adolescence, the more prominent epiphyseal tubercle (left, model representative of younger adolescent femur) relatively subsides and is replaced by cupping of the epiphysis around the metaphysis (right, model representative of more mature adolescent femur).

jposna2022589_fig1.jpg

They further hypothesized the importance of this tubercle, highlighting how the presence of a deep epiphyseal tubercle in many animal species coincides with an exceedingly rare incidence of SCFE in these species. Liu et al.12 further postulated that the epiphyseal tubercle acts as a ‘keystone’ stabilizer to prevent epiphyseal displacement that occurs in SCFE. Utilizing high-resolution scans of preserved pediatric specimens, they were able to demonstrate a negative correlation with tubercle height and tubercle surface area with age. As the epiphyseal tubercle relatively subsides, it is replaced by peripheral cupping of the epiphysis around the metaphysis. Novais et al.13 utilized computer tomography (CT) reconstructions in normal patients to further characterize epiphyseal cupping, demonstrating significantly increased mean epiphyseal cupping in the anterior and posterior direction with age. Kiapour et al.14 go on to summarize a proposed etiology for these morphological changes, stating though the epiphyseal tubercle regresses in size and shape with age, its role is replaced with epiphyseal cupping in providing stability to the physis.15 Kiapour utilized pelvic CT scans of 80 skeletally immature subjects and finite element modeling to demonstrate that younger hips had increased tubercle height with increased load stress concentrated at the tubercle, whereas more mature hips had a smaller tubercle height, with load stress concentrated to the periphery of the epiphysis.14

Pathophysiology

Recent literature has challenged the historical notion that SCFE is simply a posterior and inferior displacement of epiphysis through linear shearing forces on the physis. Various studies have proposed a rotational mechanism of displacement, with the epiphyseal tubercle functioning as a point of rotation for the epiphysis leading to the posterior displacement of epiphysis relative to the metaphysis.16,17 Tayton16 utilized osteological specimens to demonstrate that the classic radiographic pattern of SCFE more closely resembled the specimens in which a medial rotation around the epiphyseal tubercle was applied rather than a linear posteromedial force in the direction of proposed slip in SCFE. Liu et al.17 further validated these findings, by demonstrating a rotational mechanism for SCFE corresponds to the typical displacement of the fovea of the femoral head in relation to the calcar ridge on the lesser trochanter. They also demonstrated that the epiphyseal vessels enter near the tubercle such that rotation around the epiphyseal tubercle protects the hip from tension on the epiphyseal vessels, even in cases of severe deformity. A recent study by Novais et al.18 sought to validate this proposed rotational mechanism utilizing CT scan generated 3D reconstructions of hips with SCFE to measure the degree of epiphyseal rotation and translation. They demonstrated a significant association between increased epiphyseal rotation and increased posterior translation of the epiphysis and that severe SCFE was associated with increased epiphyseal rotation.

Additional studies of epiphyseal cupping around the metaphysis after subsidence of the epiphyseal tubercle have highlighted the importance of cupping for the stability of the proximal femoral physis. Morris et al.19 matched 89 patients with unilateral SCFE to 89 age- and sex-matched healthy controls and found a decreased capital femoral epiphyseal extension around the metaphysis in the SCFE cohort with a significant downward trend in epiphyseal extension from the controls to the stable slips to the unstable slips (p=0.001). A subsequent dual center matching cohort study20 demonstrated similar findings when measuring the degree of epiphyseal cupping around the metaphysis and found a downward trend in the degree of epiphyseal cupping from healthy controls (with the most cupping) to unilateral SCFEs without contralateral slip to unilateral slips who went on to have contralateral slip (with the least cupping). The authors proposed that these findings suggest that capital femoral epiphyseal extension/cupping may provide physeal stability and protection against SCFE.

Endocrinopathies

While the strong association of obesity and SCFE has been well-studied,7,9,10 there is a growing body of literature highlighting the role of both clinical and subclinical endocrinopathies in weakening of the capital femoral physis leading to SCFE. Clinical endocrinopathies that have historically been associated with SCFE include renal osteodystrophy, hypothyroidism, panhypopituitarism, and growth hormone replacement or excess. Various studies have implicated these endocrinopathies in SCFE, though the pathogenesis remains incompletely understood. In the case of panhypopituitarism, current studies suggest the necessity of growth hormone in cartilage maturation. In hypothyroidism, chondrocyte degeneration and delayed ossification of the physis may contribute to SCFE.21

However, more recent literature expands on this association by exploring subclinical endocrinopathies associated with SCFE and their role in its pathogenesis. These studies argue that mechanical overload of the physis through increased body weight alone is unlikely and there may be a multifactorial biochemical alteration of the physis leading to SCFE.2224 Most prominently, Montanez-Alvarez et al.23 and Halverson et al.24 have demonstrated the role of hyperinsulinism and leptin elevation in the pathogenesis of SCFE, respectively. These studies highlight the subclinical endocrine abnormalities seen in typical SCFE patients, drawing contrast with the frank endocrine abnormalities seen in patients with atypical SCFE.25,26

Montanez-Alvarez et al.23 performed a case-control study matching patients with SCFE to pediatric patients undergoing initial evaluation at an obesity clinic. They demonstrated significantly higher morning serum insulin levels in the SCFE cohort when compared to the controls (OR 10.0). Additionally, high levels of very low-density lipoprotein (VLDL) and triglycerides were found in the SCFE cohort compared to the controls, further implicating metabolic syndrome in the pathogenesis of SCFE.23,27 This study highlights how insulin acts as a growth factor affecting physeal chondrocytes, both directly and via stimulation of insulin-like growth factor 1 (IGF-1).28,29 In-vitro models have demonstrated that insulin leads to chondrocyte proliferation and differentiation, whereas IGF-1 contributes to hypertrophy and longitudinal growth of the chondrocytes while preserving the number of cells. These two effects combine to increase the height of the columnar cells of the hypertrophic zone, the area of the physis most often implicated in the pathogenesis of SCFE.30

Halverson et al.24 suggest an additional culprit, leptin, in the pathogenesis of SCFE. Both animal and human studies have demonstrated the role leptin may play at the physis through leptin receptors on physeal chondrocytes.31,32 Through these receptors, leptin acts to stimulate chondrocyte hypertrophy and disorganization of the collagen typically found in the hypertrophic zone.3335 Halverson compared a cohort of patients with SCFE to age and body mass index (BMI)-matched controls from a pediatric weight management clinic. Serum leptin was obtained in all patients, with a significantly higher serum leptin level found in SCFE patients, compared to similar-BMI controls. Notably, this study also showed no significant difference in race, obesity, or sex when comparing rates of SCFE. The only statistically significant risk factor identified was elevated serum leptin showing a clear relationship between elevated leptin and SCFE, regardless of obesity status.24

The importance of an increased understanding of the pathogenesis of SCFE and specific risk factors that have been identified in recent studies may aid in improved time to diagnosis and treatment. Schur et al.36 highlight that despite efforts to assist in the timely diagnosis of SCFE, the average time from symptom onset to diagnosis is 17 weeks. This multicenter study showed that time from primary care visit to diagnosis or emergency department visit to diagnosis is still remarkably prolonged at 4 weeks and 6 weeks, respectively. Identifying risk factors and having lower thresholds to screen in patients with concomitant endocrine or metabolic abnormalities may aid in more timely diagnosis.

Clinical Evaluation

Despite recent efforts, diagnosis of SCFE in a timely manner remains a challenge. Schur et al.36 posit that the time to diagnosis in SCFE has not changed much in the last 10 years. This is largely due to the non-specific symptoms, difficulty in identifying referred pain from the hip, and indolent course SCFE often takes. The most common symptoms on presentation include ipsilateral groin pain, lateral or posterolateral hip and thigh pain that is often difficult to localize, and commonly ipsilateral knee pain.5 Knee pain is present in 15-50% of SCFE and likely leads to higher rates of misdiagnosis or delay in diagnosis.37 Kocher et al.38 found that distal thigh or knee pain was found to be one of the strongest independent predictors of a delay in SCFE diagnosis. Additionally, they found there was a significant relationship between longer delays in diagnosis and progression of slip severity.

On exam, patients demonstrate pain with passive range of motion of the affected hip. Pain with internal rotation is common as is decreased internal rotation of the hip. In cases of severe deformity, patients also demonstrate “obligate external rotation” where flexion of the hip requires external rotation to avoid impingement (See Video of Obligate External Rotation). Evaluation of the contralateral hip is also essential given the prevalence of contralateral slip on presentation of approximately 15-36%.5

Radiographic Evaluation

The diagnosis of SCFE is confirmed radiographically and primary imaging for SCFE remains the anteroposterior (AP) and frog-leg lateral pelvis radiographs. Pelvis radiographs (which include the contralateral hip) should always be included to rule out bilateral SCFE. In patients with suspected acute and severe slip, pain is often elicited during rotation of the hip for frog-leg view; thus, a true lateral radiograph is advised.

Typical radiographic evaluation of SCFE identifies characteristic findings reflective of displacement of the epiphysis, including widening of the physis when compared to the contralateral side, relative posterior displacement of the epiphysis on the frog lateral, and apparent decreased epiphyseal height (due to posterior displacement).39 Historically, Klein’s line has been utilized in the diagnosis of SCFE on plain radiographs. Using the anterior-posterior (AP) view, a line is drawn tangent and parallel to the superior surface of the femoral neck through the epiphysis. In normal hips, this line should intersect the epiphysis. In SCFE, this line intersects less or completely misses the epiphysis and is diagnostic of SCFE (Figure 2).5,39

Figure 2. Anterior-posterior (AP) and frog lateral radiographs of an 11-year-old male with stable right SCFE. (A) AP view demonstrates that Klein’s line, a line parallel to the femoral neck at its superior border (white dashed line), intersects less epiphysis on the right, affected side. (B) Frog lateral view demonstrates physeal widening and relative posterior displacement of the right capital femoral epiphysis on the metaphysis.

jposna2022589_fig2.jpg

More recent literature however suggests that Klein’s line is not sensitive enough to detect all slips and should not be over-relied upon, specifically in the case of mild slips or hips in a pre-slip phase. Green et al.40 proposed a modified Klein’s line, in which a similar line was drawn on the contralateral hip and a difference of 2 mm suggests a possible slip with greater sensitivity.

Another commonly utilized tool for radiographic assessment of SCFE is the Southwick angle, a marker of severity most frequently measured in the frog-leg view. The Southwick angle (Figure 3) is determined by drawing a line perpendicular to a line between the anterior and posterior margins of the epiphysis. Then an additional line is drawn along the femoral neck axis, and the angle subtended between the line perpendicular to the epiphyseal margin line is the head-shaft angle. The Southwick angle is defined as the difference in head-shaft angle between the affected and healthy hips. Severity by Southwick angle is graded as mild between 0-30 degrees, moderate between 30-50 degrees, and severe >50 degrees.5

Figure 3. The Southwick angle is measured by first determining the head-shaft angle of each hip. The head-shaft angle is measured as the angle subtended between a line perpendicular to the edges of the epiphysis and a line representing the femoral shaft axis (a on the affected side and c on the contralateral side). The Southwick angle represents the difference in head-shaft angle between the affected and contralateral healthy hip.

jposna2022589_fig3.jpg

Generally, advanced imaging has not been widely adopted in the diagnosis of SCFE due to increased costs and lack of increased sensitivity. Magnetic Resonance Imaging (MRI) has been used to identify physeal edema suggestive of pre-slip SCFE in equivocal cases. However, it is more frequently used after index treatment in the assessment of hip perfusion for diagnosis of avascular necrosis (AVN).39 Computed tomography (CT) is useful for 3D reconstruction of severe deformity, but again, is typically reserved for templating cases where a corrective osteotomy is likely to be performed.39 In the acute setting, the use of MRI and CT in SCFE remains controversial due to potential for treatment delay.39,41

Endocrine Evaluation

Given the association between endocrine abnormalities and weakening of the capital femoral physis, cases of atypical patient presentations merit an endocrine workup to evaluate for undiagnosed endocrinopathies. Loder et al. (2001)25 first described the importance of the ‘age-weight test’ in the evaluation of clinically suspected atypical SCFE. Based on a series of 433 children with 612 SCFEs, Loder showed that 92% of typical SCFE occurs within the ages of 10-16 with a simple peak at this time while there was a trimodal distribution in atypical SCFE, with smaller peaks occurring in age ranges <10 years and >16 years. He concluded that children with a weight <50th percentile for age that is either <10 years or >16 years have an increased incidence of atypical SCFE with a sensitivity of 55%, specificity of 92%, positive predictive value of 52%, and negative predictive value (NPV) of 93%.25 Importantly, this study showed a high specificity and NPV for the age-weight test, indicating the surgeon suspicious of atypical SCFE can be confident that the patient not meeting these criteria likely does not require further workup. Loder et al.4 go on to expand upon these findings in 2006, with the addition of height to the age-weight test. Loder utilized this 10th percentile height with the same age ranges as before. He found that patients <10 years and >16 years with height <10th percentile had increased incidence of atypical SCFE with a sensitivity of 88%, specificity of 73%, PPV of 30%, and NPV of 98%. Additionally, using all three factors in a regression analysis resulted in an odds ratio (OR) of 14.1 for patients who met all three test cutoffs.

In patients whose clinical presentation is suspicious for atypical SCFE, endocrine workup should include evaluation for hypothyroidism and renal osteodystrophy. A thyroid stimulating hormone (TSH) level and a comprehensive metabolic panel can be drawn as screening tests for thyroid and renal function.

Classification

SCFE has historically been classified into acute, chronic, and acute on chronic. Acute SCFE is approximately 15% of all SCFE and is associated with presentation within 3 weeks of symptom onset. Acute SCFE often presents following an inciting injury. Chronic SCFE, which comprises the remaining 85% of SCFE, mandates there must be symptoms for at least 3 weeks before presentation. Acute on chronic SCFE is described in the literature as an acute worsening of symptoms in a patient with chronic SCFE, likely secondary to an acute injury to the affected hip.

Prognostically, stability classification of SCFE is of more importance. Loder et al.6 first highlighted physeal stability, classifying SCFE as stable or unstable based on weight-bearing ability. Physeal stability was determined to be of importance when evaluating risk for future avascular necrosis (AVN), with Zaltz et al.42 using historical data from the literature to determine the rate of AVN at 23.9% in unstable SCFE. Prompt recognition and treatment of unstable SCFE are therefore of high importance due to the change in subsequent management discussed below.

Management

The primary goal in the management of SCFE is to stabilize the epiphysis to prevent further slip progression. This can be accomplished through different methods, including the use of in situ pinning, closed reduction, and variations of open reduction. However, this article will address the most common treatments of serendipitous reduction and in situ pinning versus formal open reduction.

In Situ Fixation

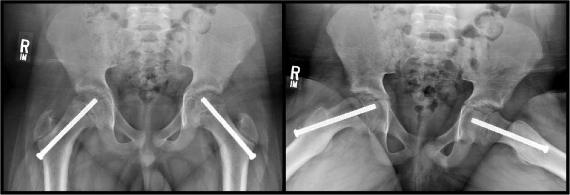
In situ fixation is the gold standard for the treatment of stable SCFE. Current standards for in situ pinning (ISP) of a stable SCFE include the placement of one cannulated screw placed perpendicular to the physis, penetrating the epiphysis at the center with at least four screw threads crossing the physis (Figure 4).

Figure 4. Bilateral in situ screw fixation of stable slipped capital femoral epiphysis. Note the central position of the screw on the AP and lateral views with at least four screw threads in the epiphysis.

jposna2022589_fig4.jpg

Additionally, to prevent penetration into the joint space, the findings from Senthi et al.43 recommend a distance of at least 5 mm from the subchondral bone on all views. ISP effectively makes no overt attempt to correct the presenting deformity but focuses on preventing additional slip and subsequent deformity instead. A serendipitous reduction may be achieved during patient positioning with internal rotation of the hip to position the patella directly up. Napora et al.44 acknowledged that this serendipitous reduction can be performed purposefully without increased rates of AVN in unstable SCFE. However, forceful reduction is not performed to avoid iatrogenic displacement that may injure the retinacular vessels supplying the epiphysis.

Similarly, the gold standard for management of unstable SCFE remains ISP. In contrast to stable SCFE, unstable SCFE is generally treated in an urgent fashion similar to a transphyseal femoral neck fracture. Treatment is also unique from management of stable SCFE with the addition of 1) placement of two screws rather than a single screw, 2) the addition of capsulotomy to address possible intracapsular hematoma, and 3) monitoring of capital femoral epiphyseal perfusion.

Single vs. Two Screw Fixation

For mild to moderate stable SCFE, single screw fixation yields adequate results while limiting the increased risks associated with double screw fixation. However, slip progression following single screw fixation is a potential risk.4547

Various studies have looked at the biomechanical advantages of single versus double screw fixation in animal models. Segal et al.48 utilized bovine models to recreate reduced and non-reduced slips and tested them against both shear and torsional stress, comparing single versus double screw fixation. This study found that double screw fixation significantly increased torsional stiffness in the non-reduced models but only mildly increased axial stiffness under shear loading. Snyder et al.49 aimed to recreate ‘unstable’ slips in a porcine model and assess the relative torsional strength of the models with single or double screw fixation. This study found that double screw fixation yielded nearly double the torsional strength and stiffness as a single screw fixation in ‘unstable’ SCFE. Kishan et al.50 additionally created similar simulated ‘unstable’ slips utilizing porcine models and compared the biomechanical properties of single versus double screw fixation. This study validated similar results to previous studies,48,49 finding that double screw fixation led to significantly greater average stiffness. However, they additionally found no significant difference in the average maximum load used to create failure at the physis when comparing single and double screw fixation.

The consensus in the literature indicates that the use of two screws in SCFE fixation should be reserved for unstable or severe slips.4952 The routine usage of two screws in treatment of stable or mild to moderate SCFE is not recommended.49,51 Numerous complications associated with double screw fixation have been reported, including increased possibility of one or more screws extending into the joint space, increased risk of avascular necrosis due to increased chance for disruption of blood vessels, and increased risk of chondrolysis.45,50,5254 Careful planning and execution of screw placement is needed to mitigate these potential complications.

Capsulotomy

In cases of unstable SCFE, displacement of the epiphysis on the metaphysis may lead to the presence of an intracapsular hematoma, leading to a tamponade of the epiphyseal blood flow. In a series of 13 unstable slips, Herrera-Soto et al.55 demonstrated increased intracapsular pressure in the affected hip as compared to the normal contralateral hip. Pressures increased further even with gentle manipulation. Upasani et al.56 more recently utilized a porcine model to demonstrate that increased intracapsular pressure could lead to tamponade of epiphyseal retinacular vessel perfusion in immature hips. Together, these data provide a strong argument for capsulotomy after fixation of the epiphysis to allow for decompression of any intracapsular hematoma. Capsulotomy can be performed with an open approach to the femoral neck or by sliding a Cobb elevator along the anterior neck and releasing the anterior capsule.

In an attempt to further reduce rates of osteonecrosis associated with unstable SCFE, Schrader et al.57 described a technique for intraoperative monitoring of epiphyseal perfusion. An intracranial pressure (ICP) probe was inserted percutaneously through a cannulated screw into the epiphysis. The presence of a pulsatile waveform synchronous with cardiac monitoring suggests that perfusion to the epiphysis is maintained. This technique provides not only prognostic value but may also help confirm the adequacy of the capsulotomy performed after fixation of an unstable SCFE (Figure 5).

Figure 5. In cases of unstable SCFE, a capsulotomy is performed (such as with a Cobb elevator) to decompress intracapsular hematoma, which could otherwise lead to tamponade and decreased epiphyseal perfusion. (A) An intracranial pressure sensor can be threaded through the cannulated screw in the epiphysis. (B) Sensor seen extending beyond the tip of the inferior screw to assess for femoral head perfusion. A pressure waveform (C, orange) from the intracranial pressure sensor that is synchronous with the cardiac monitoring (C, green waveform) is prognostic of maintained epiphyseal perfusion.

jposna2022589_fig5.jpg

Open Reduction

The indications for open reduction of the epiphysis on the metaphysis via surgical hip dislocation (SHD) approach for unstable slips have increased over the last decade. Leunig et al.58 described the modified Dunn procedure as a solution for misalignment in unstable or severe slips, by surgically realigning the femoral head neck contour. Due to the vulnerable blood supply of the epiphysis, prior studies have demonstrated a high risk of osteonecrosis with this open surgical realignment of the epiphysis.5961 Ziebarth et al.62 suggested that for severe deformities, correction through surgical hip dislocation may fully correct femoral head alignment and reduce the risk for osteoarthritis later in life. Their study highlighted 12 slips that underwent the modified Dunn procedure, with no patient developing short-term complications such as osteonecrosis.62 However, Upasani et al.63 and Sankar et al.64 reported series with rates of avascular necrosis of 22-26% and overall complication rate of up to 37%. Upasani et al.63 reported the experience of a large tertiary referral center and noted an inverse relationship between surgeon volume in the procedure and complication rate and consequently modified their practice to limit the use of modified Dunn to high-volume surgeons.

Contralateral Prophylactic Pinning

The decision for contralateral hip prophylactic pinning is key in management of SCFE, as rates of delayed contralateral slip are approximately 15-36%, with most occurring in the first 18 months following the initial injury.5,6 However, the benefits of prophylactic pinning must be weighed against the risks of the procedure. Sankar et al.65 reported on a series of 99 children who underwent prophylactic pinning of the contralateral hip with an overall complication rate of 6%. Although no patient developed chondrolysis, 2% developed focal AVN, 2% sustained a peri-implant fracture, and 2% of symptomatic implants required removal. While there is consensus that patients with endocrinopathies predisposing them to contralateral slip (e.g., hypothyroidism, renal osteodystrophy, growth hormone replacement) should be prophylactically pinned, the decision for the majority of patients may be more difficult to balance. Consequently, research continues to focus on identifying the highest-risk patients for contralateral slip to help balance the risks and benefits of this procedure.

One of the best historical predictors of contralateral slip is the degree of growth remaining which is directly related to the risk of contralateral slip.66,67 Stasikelis et al.66 first reported a linear relationship between the skeletal maturity (based on the modified Oxford bone age, mOBA, score) and risk of developing a contralateral slip. The methodology utilized an AP and frog-leg film to calculate the score as a surrogate for growth remaining. Popejoy et al.67 expanded on this work to stratify risk based on the score. They analyzed 250 unilateral SCFE presentations that were followed until skeletal maturity. They found that relative skeletal immaturity was directly associated with the risk of contralateral slip and the mOBA score could be applied to a probability table to determine the likelihood of contralateral slip. Most simply, they identified that 89% percent of patients with a triradiate cartilage score of 1, which corresponds to a wide-open triradiate cartilage, developed a contralateral slip.

Other radiographic methods rely on the morphology of the contralateral proximal femur. The posterior sloping angle of the proximal femoral epiphysis has been reported to be predictive of contralateral slip. The posterior sloping angle is determined by a line drawn from the anterior to posterior margin of the epiphysis and an intersecting line that is perpendicular to the longitudinal axis of the femur on frog-leg view.39 Various studies have attempted to validate this radiographic predictor in SCFE. Subsequent studies by Barrios et al.,68 Zenios et al.,69 and Phillips et al.70 proposed PSA cutoff of >12-15 degrees when considering prophylactic pinning with number needed to treat (NNT, the number needed to treat to prevent a missed contralateral slip) of 1.79-1.9.

Maranho et al.71 modified this technique to measure the posterior epiphyseal tilt relative to the femoral neck (rather than the femoral shaft, Figure 6). They measured epiphyseal tilt angle in 318 hips at presentation of unilateral SCFE and determined that for each additional degree of posterior epiphyseal tilt, there was an 8% increase in likelihood of contralateral slip. Hips with posterior tilt angle of <10 degrees had only a 19% chance of contralateral slip while hips with >10 degrees had a 49% chance of a contralateral slip where the NNT for patients with a tilt angle >10 degrees was 3.3.

Figure 6. Posterior epiphyseal tilt is determined by first drawing a line perpendicular to the edges of the epiphysis on the frog lateral view (black line). The epiphyseal tilt (tilt angle) is then measured as the angle subtended by the line perpendicular to the epiphysis and a line parallel to the femoral neck axis (white line). In this case, the epiphysis has a slight posterior epiphyseal tilt.

jposna2022589_fig6.jpg

Maranho et al.72 also recently reported a unique plain radiographic sign of pre-symptomatic SCFE. Maranho noted that in patients with SCFE, the rotation of the epiphysis around the epiphyseal tubercle led to lysis and radiolucency in the tubercle and its corresponding metaphyseal fossa. In their study of 250 patients with initial unilateral SCFE, they retrospectively determined that peritubercle lucency was present in 84% of the patients who developed contralateral slip. Additionally, the peritubercle lucency sign was observed before other radiographic abnormalities including changes in the tilt angle or Klein’s line in 49% of the patients who developed contralateral slip. Maranho et al.73 further analyzed the peritubercle lucency sign using MRI as the gold standard for diagnosis of early SCFE in the pre-slip phase and found an accuracy of 94%. However, a subsequent study74 assessing the inter- and intra-observer agreement for the peritubercle lucency sign among six fellowship-trained pediatric orthopedic surgeons demonstrated only modest agreement. The authors consequently suggest that this sign may be best used in combination with other validated predictors such as endocrinopathy, skeletal maturity, and posterior slope angles.

Summary

Our understanding of SCFE has evolved over the last decade, from appreciating rotational pathophysiology to new understanding for the role of subclinical endocrinopathies and how they alter the biochemical stability of physis. Our knowledge of the physis and the biochemical alterations through endocrine mechanisms continues to evolve, with the effect of leptin and insulin recently implicated in the pathophysiology of SCFE. The importance of the epiphyseal tubercle in the mechanism of injury, and its anatomical importance when managing SCFE has been well demonstrated. In situ pinning will remain the gold standard for the management of SCFE, though the use and visibility of open reduction via the modified Dunn procedure have recently increased. Ongoing analysis of factors associated with contralateral slip has continued to improve our ability to identify high-risk candidates to offer prophylactic pinning. SCFE remains a dynamic condition that requires careful decision-making regarding further workup and choice of management.

Additional Links

Disclaimer

No funding was received for this project. The authors have no conflicts of interest to report.

References

  1. Novais EN, Millis MB. Slipped capital femoral epiphysis: prevalence, pathogenesis, and natural history. Clin Orthop Relat Res. 2012;470(12):3432-3438.
  2. Hailer YD. Fate of patients with slipped capital femoral epiphysis (SCFE) in later life: risk of obesity, hypothyroidism, and death in 2,564 patients with SCFE compared with 25,638 controls. Acta Orthop. 2020;91(4):457–463.
  3. Loder RT, Skopelja EN. The epidemiology and demographics of slipped capital femoral epiphysis. ISRN Orthop. 2011;2011:486512.
  4. Loder RT, Starnes T, Dikos G. Atypical and typical (idiopathic) slipped capital femoral epiphysis. Reconfirmation of the age-weight test and description of the height and age-height tests. J Bone Joint Surg Am. 2006;88(7):1574-1581.
  5. Georgiadis AG, Zaltz I. Slipped capital femoral epiphysis: how to evaluate with a review and update of treatment. Pediatr Clin North Am. 2014;61(6):1119-1135.
  6. Loder RT, Richards BS, Shapiro PS, et al. Acute slipped capital femoral epiphysis: the importance of physeal stability. J Bone Joint Surg Am. 1993;75(8):1134-1140.
  7. Aversano MW, Moazzaz P, Scaduto AA, et al. Association between body mass index-for-age and slipped capital femoral epiphysis: the long-term risk for subsequent slip in patients followed until physeal closure. J Child Orthop. 2016;10(3):209-213.
  8. Perry DC, Metcalfe D, Lane S, et al. Childhood obesity and slipped capital femoral epiphysis. Pediatrics. 2018;142(5):e20181067.
  9. Manoff EM, Banffy MB, Winell JJ. Relationship between Body Mass Index and slipped capital femoral epiphysis. J Pediatr Orthop. 2005;25(6):744-746.
  10. Poussa M, Schlenzka D, Yrjönen T. Body mass index and slipped capital femoral epiphysis. J Pediatr Orthop B. 2003;12(6):369-371.
  11. Tayton K. The epiphyseal tubercle in adolescent hips. Acta Orthop. 2009;80(4):416-419.
  12. Liu RW, Armstrong DG, Levine AD, et al. An anatomic study of the epiphyseal tubercle and its importance in the pathogenesis of slipped capital femoral epiphysis. J Bone Joint Surg Am. 2013;95(6):e341-e348.
  13. Novais EN, Maranho DA, Vairagade A, et al. Smaller epiphyseal tubercle and larger peripheral cupping in slipped capital femoral epiphysis compared with healthy hips: a 3-dimensional computed tomography study. J Bone Joint Surg Am. 2020;102(1):29-36.
  14. Kiapour AM, Kiapour A, Maranho DA, et al. Relative contribution of epiphyseal tubercle and peripheral cupping to capital femoral epiphysis stability during daily activities. J Orthop Res. 2019;37(7):1571-1579.
  15. Novais EN, Maranho DA, Kim YJ, et al. Age- and sex-specific morphologic variations of capital femoral epiphysis growth in children and adolescents without hip disorders. Orthop J Sports Med. 2018;6(6):2325967118781579.
  16. Tayton K. Does the upper femoral epiphysis slip or rotate? J Bone Joint Surg Br. 2007;89(10):1402-1406.
  17. Liu RW, Fraley SM, Morris WZ, et al. Validity and clinical consequences of a rotational mechanism for slipped capital femoral epiphysis. J Pediatr Orthop. 2016;36(3):239-246.
  18. Novais EN, Hosseinzadeh S, Emami SA, et al. What is the association among epiphyseal rotation, translation, and the morphology of the epiphysis and metaphysis in slipped capital femoral epiphysis? Clin Orthop Relat Res. 2021;479(5):935-944.
  19. Morris WZ, Napora JK, Conry KT, et al. Capital femoral epiphyseal extension may confer physeal stability in slipped capital femoral epiphysis. J Pediatr Orthop. 2019;39(3):119-124.
  20. Morris WZ, Liu RW, Marshall DC, et al. Capital femoral epiphyseal cupping and extension may be protective in slipped capital femoral epiphysis: a dual-center matching cohort study. J Pediatr Orthop. 2020;40(7):334-339.
  21. Marquez D, Harb E, Vilchis H. Slipped capital femoral epiphysis and hypothyroidism in a young adult: a case report. J Med Case Rep. 2014;8(1):336.
  22. Witbreuk M, van Kemenade FJ, van der Sluijs JA, et al. Slipped capital femoral epiphysis and its association with endocrine, metabolic and chronic diseases: a systematic review of the literature. J Child Orthop. 2013;7(3):213-223.
  23. Montanez-Alvarez M, Flores-Navarro HH, Cuevas-De Alba C, et al. The role of hyperinsulinemia in slipped capital femoral epiphysis. J Pediatr Orthop. 2020;40(8):413-417.
  24. Halverson SJ, Warhoover T, Mencio GA, et al. Leptin elevation as a risk factor for slipped capital femoral epiphysis independent of obesity status. J Bone Joint Surg Am. 2017;99(10):865-872.
  25. Loder RT, Greenfield ML. Clinical characteristics of children with atypical and idiopathic slipped capital femoral epiphysis: description of the age-weight test and implications for further diagnostic investigation. J Pediatr Orthop. 2001;21(4):481-487.
  26. McAfee PC, Cady RB. Endocrinologic and metabolic factors in atypical presentations of slipped capital femoral epiphysis. Report of four cases and review of the literature. Clin Orthop Relat Res. 1983 Nov;(180):188-197.
  27. Ucpunar H, Camurcu IY, Duman S, et al. Obesity-related metabolic and endocrine disorders diagnosed during postoperative follow-up of slipped capital femoral epiphysis. Acta Orthop. 2018;89(3):314-319.
  28. Torres ES, Andrade CV, Fonseca EC, et al. Insulin impairs the maturation of chondrocytes in vitro. Braz J Med Biol Res. 2003;36(9):1185-1192.
  29. Zhang F, He Q, Tsang WP, et al. Insulin exerts direct, IGF-1 independent actions in growth plate chondrocytes. Bone Res. 2014;2:14012.
  30. Wu S, Zhang Y, De Luca F. The effect of a high-calorie diet on bone growth is mediated by the insulin receptor. Bone. 2019;122:166-175.
  31. Figenschau Y, Knutsen G, Shahazeydi S, et al. Human articular chondrocytes express functional leptin receptors. Biochem Biophys Res Commun. 2001;287(1):190-197.
  32. Maor G, Rochwerger M, Segev Y, et al. Leptin acts as a growth factor on the chondrocytes of skeletal growth centers. J Bone Miner Res. 2002;17(6):1034-1043.
  33. Kalra SP, Dube MG, Iwaniec UT. Leptin increases osteoblast-specific osteocalcin release through a hypothalamic relay. Peptides. 2009;30(5):967-973.
  34. Gat-Yablonski G, Phillip M. Leptin and regulation of linear growth. Curr Opin Clin Nutr Metab Care. 2008;11(3):303-308.
  35. Li X-F, Wang S-J, Jiang L-S, et al. Stage specific effect of leptin on the expressions of estrogen receptor and extracellular matrix in a model of chondrocyte differentiation. Cytokine. 2013;61(3):876-884.
  36. Schur MD, Andras LM, Broom AM, et al. Continuing delay in the diagnosis of slipped capital femoral epiphysis. J Pediatr. 2016;177:250-254.
  37. Matava MJ, Patton CM, Luhmann S, et al. Knee pain as the initial symptom of slipped capital femoral epiphysis: an analysis of initial presentation and treatment. J Pediatr Orthop. 1999;19(4):455-460.
  38. Kocher MS, Bishop JA, Weed B, et al. Delay in diagnosis of slipped capital femoral epiphysis. Pediatrics. 2004;113(4):e322-e325.
  39. Hesper T, Zilkens C, Bittersohl B, et al. Imaging modalities in patients with slipped capital femoral epiphysis. J Child Orthop. 2017;11(2):99-106.
  40. Green DW, Mogekwu N, Scher DM, et al. A modification of Klein’s Line to improve sensitivity of the anterior-posterior radiograph in slipped capital femoral epiphysis. J Pediatr Orthop. 2009;29(5):449-453.
  41. Kallio PE, Paterson DC, Foster BK, et al. Classification in slipped capital femoral epiphysis. Sonographic assessment of stability and remodeling. Clin Orthop Relat Res. 1993 Sep;(294):196-203.
  42. Zaltz I, Baca G, Clohisy JC. Unstable SCFE: review of treatment modalities and prevalence of osteonecrosis. Clin Orthop Relat Res. 2013;471(7):2192-2198.
  43. Senthi S, Blyth P, Metcalfe R, et al. Screw placement after pinning of slipped capital femoral epiphysis: a postoperative CT scan study. J Pediatr Orthop. 2011;31(4):388-392.
  44. Napora JK, Morris WZ, Gilmore A, et al. Purposeful closed reduction and pinning in unstable slipped capital femoral epiphysis results in a rate of avascular necrosis comparable to the literature mean. Orthopedics. 2021;44(2):92-97.
  45. Aronson DD, Carlson WE. Slipped capital femoral epiphysis. A prospective study of fixation with a single screw. J Bone Joint Surg Am. 1992;74(6):810-819.
  46. Carney BT, Birnbaum P, Minter C. Slip progression after in situ single screw fixation for stable slipped capital femoral epiphysis. J Pediatr Orthop. 2003;23(5):584-589.
  47. Makarewich CA, Wait ES, Fedorak GT, et al. Factors affecting slip progression after in situ screw fixation of stable slipped capital femoral epiphysis. J Pediatr Orthop. 2022;42(5):e414-e420.
  48. Segal LS, Jacobson JA, Saunders MM. Biomechanical analysis of in situ single versus double screw fixation in a nonreduced slipped capital femoral epiphysis model. J Pediatr Orthop. 2006;26(4):479-485.
  49. Snyder RR, Williams JL, Schmidt TL, et al. Torsional strength of double- versus single-screw fixation in a pig model of unstable slipped capital femoral epiphysis. J Pediatr Orthop. 2006;26(3):295-299.
  50. Kishan S, Upasani V, Mahar A, et al. Biomechanical stability of single-screw versus two-screw fixation of an unstable slipped capital femoral epiphysis model: effect of screw position in the femoral neck. J Pediatr Orthop. 2006;26(5):601-605.
  51. Karol LA, Doane RM, Cornicelli SF, et al. Single versus double screw fixation for treatment of slipped capital femoral epiphysis: a biomechanical analysis. J Pediatr Orthop. 1992;12(6):741-745.
  52. Morrissy RT. Slipped capital femoral epiphysis. Rosemont, IL: American Academy of Orthopaedic Surgeons; 2002.
  53. Blanco JS, Taylor B, Johnston CE, 2nd. Comparison of single pin versus multiple pin fixation in treatment of slipped capital femoral epiphysis. J Pediatr Orthop. 1992;12(3):384-389.
  54. Ward WT, Stefko J, Wood KB, et al. Fixation with a single screw for slipped capital femoral epiphysis. JBJS. 1992;74(6):799-809.
  55. Herrera-Soto JA, Duffy MF, Birnbaum MA, et al. Increased intracapsular pressures after unstable slipped capital femoral epiphysis. J Pediatr Orthop. 2008;28(7):723-728.
  56. Upasani VV, Badrinath R, Farnsworth CL, et al. Increased hip intracapsular pressure decreases perfusion of the capital femoral epiphysis in a skeletally immature porcine model. J Pediatr Orthop. 2020;40(4):176-182.
  57. Schrader T, Jones CR, Kaufman AM, et al. Intraoperative monitoring of epiphyseal perfusion in slipped capital femoral epiphysis. J Bone Joint Surg Am. 2016;98(12):1030-1040.
  58. Leunig M, Slongo T, Kleinschmidt M, et al. Subcapital correction osteotomy in slipped capital femoral epiphysis by means of surgical hip dislocation. Oper Orthop Traumatol. 2007;19(4):389-410.
  59. Diab M, Hresko MT, Millis MB. Intertrochanteric versus subcapital osteotomy in slipped capital femoral epiphysis. Clin Orthop Relat Res. 2004 Oct;(427):204-212.
  60. Abraham E, Garst J, Barmada R. Treatment of moderate to severe slipped capital femoral epiphysis with extracapsular base-of-neck osteotomy. J Pediatr Orthop. 1993;13(3):294-302.
  61. Gage JR, Sundberg AB, Nolan DR, et al. Complications after cuneiform osteotomy for moderately or severely slipped capital femoral epiphysis. J Bone Joint Surg Am. 1978;60(2):157-165.
  62. Ziebarth K, Zilkens C, Spencer S, et al. Capital realignment for moderate and severe SCFE using a modified Dunn procedure. Clin Orthop Relat Res. 2009;467(3):704-716.
  63. Upasani VV, Matheney TH, Spencer SA, et al. Complications after modified Dunn osteotomy for the treatment of adolescent slipped capital femoral epiphysis. J Pediatr Orthop. 2014;34(7):661-667.
  64. Sankar WN, Vanderhave KL, Matheney T, et al. The modified Dunn procedure for unstable slipped capital femoral epiphysis: a multicenter perspective. J Bone Joint Surg Am. 2013;95(7):585-591.
  65. Sankar WN, Novais EN, Lee C, et al. What are the risks of prophylactic pinning to prevent contralateral slipped capital femoral epiphysis? Clin Orthop Relat Res. 2013;471(7):2118-2123.
  66. Stasikelis PJ, Sullivan CM, Phillips WA, et al. Slipped capital femoral epiphysis. Prediction of contralateral involvement. J Bone Joint Surg Am. 1996;78(8):1149-1155.
  67. Popejoy D, Emara K, Birch J. Prediction of contralateral slipped capital femoral epiphysis using the modified Oxford bone age score. J Pediatr Orthop. 2012;32(3):290-294.
  68. Barrios C, Blasco MA, Blasco MC, et al. Posterior sloping angle of the capital femoral physis: a predictor of bilaterality in slipped capital femoral epiphysis. J Pediatr Orthop. 2005;25(4):445-449.
  69. Zenios M, Ramachandran M, Axt M, et al. Posterior sloping angle of the capital femoral physis: interobserver and intraobserver reliability testing and predictor of bilaterality. J Pediatr Orthop. 2007;27(7):801-804.
  70. Phillips PM, Phadnis J, Willoughby R, et al. Posterior sloping angle as a predictor of contralateral slip in slipped capital femoral epiphysis. J Bone Joint Surg Am. 2013;95(2):146-150.
  71. Maranho DA, Ferrer MG, Kim YJ, et al. Predicting risk of contralateral slip in unilateral slipped capital femoral epiphysis: posterior epiphyseal tilt increases and superior epiphyseal extension reduces risk. J Bone Joint Surg Am. 2019;101(3):209-217.
  72. Maranho DA, Miller PE, Novais EN. The peritubercle lucency sign is a common and early radiographic finding in slipped capital femoral epiphysis. J Pediatr Orthop. 2018;38(7):e371-e376.
  73. Maranho DA, Bixby SD, Miller PE, et al. What is the accuracy and reliability of the peritubercle lucency sign on radiographs for early diagnosis of slipped capital femoral epiphysis compared with MRI as the Gold standard? Clin Orthop Relat Res. 2020;478(5):1049-1059.
  74. Brown DW, Iorio TJ, Mosher ZA, et al. Intraobserver and interobserver reliability of the peritubercle lucency sign in slipped capital femoral epiphysis. J Pediatr Orthop. 2021;41(3):159-163.