Surgical/Technical Tips


Lapidus Procedure for Adolescent Hallux Valgus

Anthony M. Padgett, MD1; Michael D. Johnson, MD1; Michael J. Conklin, MD1,2

1University of Alabama at Birmingham, Department of Orthopaedic Surgery, Birmingham, AL; 2Children’s of Alabama, Division of Orthopedic Surgery, Birmingham, AL

Correspondence: Anthony M. Padgett, MD, Lowder Building, Suite 316, 1600 7th Ave. South, Birmingham, AL 35233. E-mail: [email protected]

Received: June 14, 2023; Accepted: August 27, 2023; Published: November 15, 2023

DOI: 10.55275/JPOSNA-2023-745

Volume 5, Number 4, November 2023

Abstract

Surgical correction of adolescent hallux valgus (AHV) is accompanied by high rates of recurrence. Thus, surgery in the adolescent age group should only be undertaken in fully informed patients with pain refractory to nonoperative measures. A subset of patients with AHV may manifest hypermobility of the 1st tarsometatarsal joint (TMTJ), which may lead to recurrence. The Lapidus or modified Lapidus procedure involves TMTJ fusion and is a powerful and durable procedure for correcting metatarsus primus varus (MPV) and thus hallux valgus. Furthermore, it can reliably correct pronation of the 1st metatarsal, which may contribute to high recurrence rates. As many pediatric orthopaedists may be unfamiliar with this operation, we discuss patient evaluation and preferred technique for the performance of the Lapidus procedure.

Key Concepts

  • Hypermobility of the 1st ray leads to metatarsus primus varus and hallux valgus and is likely a mechanism for recurrence after AHV surgery.
  • Standing radiographs disclose an increased 1st/2nd intermetatarsal angle (IMA) and excessive dorsiflexion of the 1st ray. Hypertrophy of the cortex of the 2nd metatarsal is variable.
  • 1st TMTJ fusion can result in lasting correction of MPV and AHV.
  • It is imperative that cartilage resection proceeds all the way plantar (3 cm) to allow for adequate plantarflexion of the 1st ray. Minimal resection prevents excessive shortening and internal fixation should be rigid.

Introduction

Adolescent hallux valgus (AHV) can be a frustrating condition for the pediatric orthopaedist or foot and ankle surgeon. With recurrence rates ranging from 10-61%1,2 and over 150 procedures to choose from, it can be a challenge to select the right operation and execute the procedure in such a way as to prevent recurrence. Furthermore, there is no uniform agreement among adult foot and ankle specialists on how to characterize the pathomechanics of a hypermobile first ray. While first described by Morton in 1928, the implications of this have supporters and detractors to this day.36 There is a subset of patients with hallux valgus whose increased 1st/2nd intermetatarsal angle (IMA) is due to hypermobility of the 1st tarsometatarsal joint (TMTJ). Furthermore, this hypermobility allows for excessive dorsiflexion of the first ray, flattening the medial longitudinal arch, and increasing hindfoot valgus through the tripod effect. This puts further stress on the 1st metatarsophalangeal joint (MTPJ), worsening the hallux valgus.

The Lapidus procedure is a fusion of the first TMTJ which is generally performed for hallux valgus. The procedure is usually combined with a distal soft tissue balancing, such as a modified McBride bunionectomy: release of lateral structures (adductor hallucis tendon, lateral 1st MTPJ capsule, lateral sesamoid ligament), medial exostectomy, and medial plication. While commonly used in the adult population for the correction of hallux valgus, pediatric orthopaedists may not be familiar with the Lapidus procedure. If one accepts the concept of hypermobility of the first ray, then it is possible that this lack of familiarity with the Lapidus procedure and failure to apply it in appropriate cases is partially responsible for the unacceptable recurrence rates seen in AHV.

A pervasive dogma in pediatric orthopaedics is the avoidance of joint fusions whenever possible. Concern about adjacent joint degeneration over the long life remaining in children and adolescents necessitates prudence where fusion is concerned. Texts about anatomy and biomechanics of the foot typically espouse the concept of “essential” and “non-essential” joints of the foot. The essential joints—the ankle, subtalar, talonavicular, and metatarsophalangeal joints—demonstrate significant range of motion. Therefore, the consequences of fusing these joints would be great. The non-essential joints—the naviculocuneiform, intercuneiform, and cuneiform-metatarsal joints—demonstrate little motion. Therefore, it is assumed that fusion of these joints in childhood would have fewer consequences in terms of future adjacent joint degeneration. Furthermore, pediatric orthopaedists commonly encounter hindfoot deformities that, due to severity or hypermobility, require subtalar or triple arthrodesis to achieve a long-lasting, plantigrade foot. This is outlined in a recent publication.7 Therefore, in specific cases of AHV with hypermobility of the first ray and symptomatic hallux valgus refractory to conservative treatment, TMTJ fusion or the Lapidus procedure may be appropriate and can lead to an acceptable, durable correction.8

Description of the Method

Diagnosis and Evaluation

The work-up of the child or adolescent with hallux valgus begins with a thorough history. It is imperative that any patient considered for surgery has been experiencing pain, as surgical correction in this age group should not be done for cosmetic reasons. Non-operative treatment, such as orthotics and bunion splints, should be prescribed to manage symptoms before surgery. The patient/family should be questioned about possible hyperlaxity syndromes. Physical examination begins with an evaluation of gait and standing position of the foot. The hindfoot should be assessed for excessive valgus, and the arch should be examined for planus. The Silfverskiold test should be performed with the hindfoot in a subtalar neutral position to avoid spurious dorsiflexion through the midfoot. If the patient cannot be corrected to neutral position with the hindfoot in a neutral position, the Silfverskiold test assesses gastrocnemius equinus and aids the decision to purse a gastrocnemius recession versus a TAL. The TMTJ mobility is assessed by holding the lesser metatarsals stable with one hand and using the contralateral hand to move the 1st MT dorsally and plantarly to assess for excessive mobility (Video 1). The degree and correctability of the HV at the MTPJ are assessed as is the pronation of the 1st metatarsal, although quantifying pronation is difficult in the absence of a weight-bearing CT scan.9,10 It is also important to note any hallux valgus interphalangeous. Lastly, the clinician should note hyperlaxity of other joints or clinical features of connective tissue disorders such as Marfan’s syndrome.

Video 1. Assessment for first tarsometatarsal joint (TMTJ) hypermobility. Note the excessive range of motion as the joint is moved dorsally and plantarly.

jposna2023745_fig9.jpg

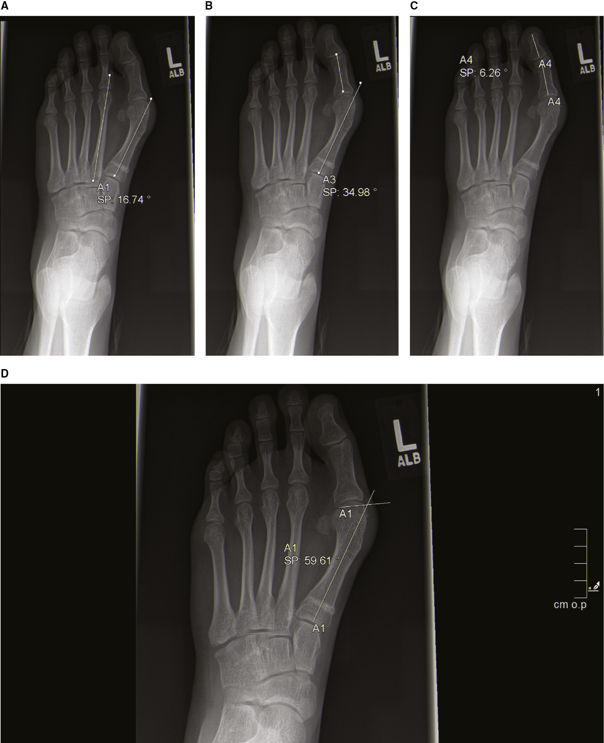
Standing radiographs of the foot are obtained. On the anteroposterior (AP) radiograph, the 1st/2nd intermetatarsal angle (IMA), the hallux valgus angle (HVA), the distal metatarsal articular angle (DMAA), and the angle between the proximal and distal phalanx are measured (Figure 1). No specific degree of interphalangeous deformity delineates the need for treatment, and it is difficult to predict those that will require treatment based on preoperative radiographs secondary to the pronation. Furthermore, the authors do not advocate for a specific DMAA cutoff in decision-making, as the preoperative DMAA measurement may be unreliable given the rotation of the metatarsal. Further guidance on the management of these scenarios is detailed in the Operative Technique.

Figure 1. Preoperative radiographic assessment of a 15-year-old female with recurrent adolescent hallux valgus after proximal 1st MT opening wedge osteotomy and distal soft tissue realignment. (A) Intermetatarsal angle (IMA). (B) Hallux valgus angle (HVA). (C) Angle between the proximal and distal phalanges. (D) Distal metatarsal articular angle (DMAA).

jposna2023745_fig1.jpg

The obliquity of the TMTJ and the location of the medial and lateral sesamoids is noted. Make note of the thickness of the cortex of the 2nd metatarsal (Figure 2). Patients with hypermobility of the 1st ray may be transferring more stress to the 2nd metatarsal, leading to hypertrophy. On the lateral radiograph, note the talar/1st metatarsal angle to evaluate for planus and look for plantar gapping of the 1st TMTJ.

Figure 2. 16-year-old female with adolescent hallux valgus. Note the hypertrophy of the 2nd metatarsal cortex.

jposna2023745_fig2.jpg

Decision-Making and Preoperative Planning

The Lapidus procedure should be reserved for skeletally mature patients to prevent any further shortening of the medical column. An exhaustive review of all the surgical options for HV is beyond the scope of this paper. However, an ideal patient to be considered for the Lapidus procedure has excessive sagittal plane mobility of the TMTJ on physical examination and a hallux valgus with IMA >13 degrees. However, the IMA may be less in patients with concurrent metatarsus adductus, excessive obliquity of the TMTJ, planus of the lateral talar-1st MT angle, or hypertrophy of the 2nd MT cortex. Hypermobility of the 1st TMTJ has been described as a discrete pathology on clinical exam finding; to date, no clear methods or defined criteria on hypermobility are widely accepted.11

Necessary operative instruments include Hinterman distractors, curettes, osteotomes, and a 2.0 mm drill. Implant options for the 1st TMT fusion are per surgeon preference and include nitinol staples, small fragment screws, a 1st TMT plating system, or a 1st TMT intramedullary system. In the authors’ opinion, an open physis is the only contraindication to the Lapidus procedure. If congenital shortening of the 1st metatarsal is present, the authors advise against lengthening with bone graft as it may cause excessive tension of the 1st MTP joint, causing pain. If there is preexisting iatrogenic shortening of the 1st metatarsal, consideration may be given to bone grafting to restore length, and a more robust fixation construct may be needed. Patients with connective tissue disorders may be at higher risk of HV recurrence, and this information should be a component of the preoperative counseling. An alternative surgical option for these patients is 1st MTP joint fusion, but most patients prefer to maintain motion if possible. Prior MTP surgery and scarring are not contraindications, but such patients may require an additional osteotomy distally to account for any distal angular deformities.

Operative Technique

The patient is supine with a wedge under the ipsilateral hip to allow for neutral position of the foot and a leg ramp to elevate the extremity. Bone foam wedges and ramps are preferred. A radiolucent table endpiece allows for easier image capture. A nonsterile thigh tourniquet is used. C-Arm is positioned on the contralateral side of the operating table with the monitor near the head of the bed (Figure 3).

Figure 3. (A) Proper patient positioning and C-arm placement. (B) Preoperative marking of 5-6 cm incision over the 1st TMT joint. (C) Preoperative marking of 5-6 cm incision over the 1st MTP joint.

jposna2023745_fig3.jpg

A 5-6 cm incision, localized with C-arm, is made over the dorsum of the 1st TMTJ. The extensor hallucis longus is retracted laterally and the joint capsule incised longitudinally and reflected medially and laterally (Figure 4). A dorsal to plantar smooth K-wire is placed in the medial cuneiform and 1st MT and the joint distracted with a Hinterman distractor (Figure 5). The adjoining articular cartilage of the 1st MT and medial cuneiform is removed with a curette and rasp (though a sagittal saw may be used, this can result in unacceptable shortening), and the raw surfaces are fenestrated multiple times with a 2.0 mm drill. It is imperative that resection be carried all the way to the plantar surface of the joint, which is 2.8 to 3 cm in depth. Failure to do so, with retention of a plantar ledge of bone/cartilage, can result in inability to adequately plantar flex the first ray. Obliquity of the TMT joint can occur; in these situations, surgeons can consider taking a small amount of additional bone from the lateral aspect of the cuneiform to increase bony apposition. Residual gapping medial from compression on the lateral side of the joint is addressed with calcaneal bone graft. Structural allograft can be considered in the setting of excessive shortening. If dorsiflexion of the medial column is a concern, the surgeon can correct through the 1st TMTJ by taking slightly more plantar bone from the cuneiform, or a structural allograft can be used to assist in plantarflexion, as has been described in the literature.12

Figure 4. Dorsal incision with reflection of joint capsule and lateral retraction of the extensor hallucis longus tendon.

jposna2023745_fig4.jpg

Figure 5. Placement of K-wires in the medial cuneiform and 1st metatarsal and distraction with Hinterman distractor.

jposna2023745_fig5.jpg

At this point, the IMA should be easily correctible, A distal incision of 5-6 cm in length is made over the medial 1st MTP joint. Care is taken to avoid injury to the dorsomedial cutaneous nerve of the hallux. The capsule is incised longitudinally and reflected proximal enough to expose the medial eminence which is resected with a sagittal saw. The sesamoids are retracted plantar while a curved Mayo scissors is passed plantar to the metatarsal head, and the lateral joint capsule is perforated. The scissors are then spread in a longitudinal direction, thus releasing the lateral capsule between the lateral sesamoid and MT head. At this point, the proximal phalanx should be able to be corrected into varus. If not, re-inspect and repeat the lateral release. Grasp the plantar capsular flap with a Coker clamp and pull dorsally, thus rotating the sesamoids under the MT head. Simultaneously, rotate the 1st metatarsal out of pronation, correct the IMA and HVA, and obtain an AP C-arm radiograph. An Aiken procedure is performed if there is interphalangeous deformity after correction of the IMA and pronation. If the correction, including the sesamoid position, is acceptable, proceed with K-wire placement.

Through the proximal portion of the medial incision place two K-wires at divergent angles from the 1st to the 2nd MT, holding the correction (Figure 6). Pay attention to the sagittal plane, correcting any planus by adequately plantar flexing the first ray. Furthermore, the pronation of the 1st MT is corrected at this juncture. Next, guide pins for canulated screw placement are advanced across the TMTJ. The authors prefer two pins through the dorsum of the 1st MT, advanced proximal and plantar into the medial cuneiform, and a third screw from the dorsum of the medial cuneiform aimed distal and plantar into the 1st MT. Compression should be achieved, and screw heads can be mildly countersunk to prevent prominence.

Figure 6. K-wires through medial incision maintain correction while TMT joint is fixed with compression screws. Note that one of three screws have been placed while three more K-wires transfix the joint. Two of these will be changed out for cannulated screws.

jposna2023745_fig6.jpg

A screw can also be placed transfixing the proximal shafts of the first and second metatarsal, thus holding the correction of the IMA and pronation. In cases where joint congruency is a concern, which is common in juvenile hallux valgus, the IMA and rotation are corrected first with the Lapidus procedure. An intraoperative assessment is then made on the DMAA. If the joint is still in valgus, a distal osteotomy is used to correct the deformity. The authors most commonly utilize a medial closing wedge osteotomy, but a biplanar chevron can also achieve correction (Figure 7).

Figure 7. (A) Preoperative standing AP radiograph of 18-year-old male with symptomatic hallux valgus. The DMAA is 25 degrees and interphalangeal angle between the proximal and distal phalanx is 5 degrees. (B) Intra-operative evaluation of the DMAA and interphalangeal angle after correction and fixation with a Lapidus procedure. Note that the DMAA is now 13 degrees, so the decision was made to perform a distal soft tissue realignment rather than a distal osteotomy. However, the interphalangeal angle now measures 14 degrees. (C) Intra-operative radiograph after performance of a proximal phalanx medial closing wedge osteotomy.

jposna2023745_fig7.jpg

The medial capsule of the MTP joint is imbricated by rotating the plantar flap dorsal and suturing it in a pants-over-vest fashion to the dorsal plantar flap. This rotates the sesamoids under the MT head. The proximal phalanx should be held in mild varus during imbrication. Either absorbable or nonabsorbable suture may be used depending on surgeon preference, but the provider should be mindful of permanent suture knot prominence. Additionally, if the deformity is adequately corrected, an excessively tight imbrication is unnecessary. An AP radiograph confirms correction. The lateral radiograph should show a good cascade such that all MT heads are colinear. Incisions are closed in layers.

Postoperative Care

The patient is placed in a short leg splint with bunion dressing per surgeon’s preference. Non-weight-bearing is recommended for 6 weeks postoperatively. At the first postoperative visit, sutures are removed, and the patient is placed into a tall cast boot with a removable bunion splint. At six weeks, X-rays are obtained, and weight-bearing is initiated. The authors do not use X-rays to adjust weight-bearing status in the setting of nonunion or delayed union. However, if provider concern exists, additional protection can be considered by keeping the patient in a boot for a longer period. Once the patient is comfortable fully weight-bearing in the boot, they may wean into a regular shoe. The patient is then seen at 3 and 6 months postoperatively for radiographic and clinical assessment (Figure 8). Implant removal is not routinely performed unless the hardware becomes symptomatic.

Figure 8. Six-week postoperative AP (A), lateral (B), and oblique (C) radiographs of patient from Figure 1 demonstrating successfully maintained correction of hallux valgus.

jposna2023745_fig8.jpg

Outcome

In a retrospective review of 23 patients undergoing correction of adolescent hallux valgus at an average age of 16 years, there were 16 unilateral and seven bilateral procedures. There were 25 excellent, three good, and two fair results at an average follow-up of 61 months. One of 23 patients reported difficulty running long distances. Two recurrences, one nonunion and one painful dorsal bunion, occurred.8 In another review of 16 adolescents with 24 feet with hypermobility of the first ray treated with the Lapidus procedure, there were 91% good or excellent results at average follow-up of 24 months. There was one recurrence requiring metatarsal osteotomy.8 Studies in the short or intermediate term, primarily in adults, have shown that recovery times may be longer for the Lapidus procedure than for other hallux valgus corrections.13 Gait parameters continue to improve between 6 and 12 months.8 In an adult cohort, some patients reported a feeling of forefoot or midfoot stiffness but did not consider this a disability.14 The nonunion rate in adult patients approaches 10%, but many patients are asymptomatic.15 Maintenance of normal plantarflexion of the 1st metatarsal and prevention of shortening should be protective against transfer metatarsalgia.16 There is no long-term data on the consequences of performing 1st TMT fusion in adolescents in regard to adjacent joint degeneration. Short to intermediate-term studies in adults show high satisfaction rates and good maintenance of correction.1,15,17

Summary

Hypermobility of the 1st ray is a cause of metatarsus primus varus and hallux valgus in a subset of patients with hallux valgus. Surgical correction of hallux valgus in adolescents has an unacceptably high rate of recurrence. First TMT fusion or the Lapidus procedure, when performed properly, can achieve a lasting correction. It is important that resection of bone be minimal to mitigate against shortening. It is also important that resection be carried all the way to the plantar portion of the joint, which allows for adequate plantar flexion of the first ray, and internal fixation should be rigid. The first metatarsal pronation should be corrected, and distal soft tissue realignment should include rotation of the sesamoids to their normal station beneath the metatarsal head. Adhering to these principles should lead to a lower rate of recurrence than historically reported in AHV.

Additional Links

Disclaimer

No funding was received. The authors report no conflicts of interest related to this manuscript.

References

  1. Coughlin MJ. Roger A. Mann Award. Juvenile hallux valgus: etiology and treatment. Foot Ankle Int. 1995;16:682-697.
  2. Ball J, Sullivan JA. Treatment of juvenile bunion by the Mitchell osteotomy. Orthopedics. 1985;18:1249-1252.
  3. Morton D. Hypermobility of the first metatarsal bone: the interlinking factor between metatarsalgia and longitudinal arch strain. J Bone Jt Surg. 1928;10:187-197.
  4. Klaue K, Hansen ST, Masquelet AC. Clinical, quantitative assessment of first tarsometatarsal mobility in the sagittal plane and its relation to hallux valgus deformity. Foot Ankle Int. 1994;1:9-13.
  5. Meyerson MS, Badekas A. Hypermobility of the first ray. Foot Ankle Clin. 2000;5:469-484.
  6. Sangeorzan BJ, Hansen ST Jr. Modified Lapidus procedure for hallux valgus. Foot Ankle. 1989;9:262-266.
  7. Kelly DM. A foot to last a lifetime-is hindfoot fusion ever appropriate for pediatric orthopaedic conditions? J Pediatr Orthop. 2021;41(Suppl 1):S39-S46.
  8. Clark HR, Veith RG, Hansen ST Jr. Adolescent bunions treated by the modified Lapidus procedure. Bull Hosp Jt Dis Orthop Inst. 1987;47(2):109-122.
  9. Dibbern K, Briggs H, Behrens A, et al. Reliability of coronal plane rotation measurements in the medial column of the foot: a cadaveric study. J Foot Ankle. 2021;15(3):252-258.
  10. Lalevée M, Barbachan Mansur NS, Dibbern K, et al. Coronal plane rotation of the medial column in hallux valgus: a retrospective case-control study. Foot Ankle Int. 2022;43(8):1041-1048.
  11. Cooper AJ, Clifford PD, Parikh VK, et al. Instability of the first metatarsal-cuneiform joint: diagnosis and discussion of an independent pain generator in the foot. Foot Ankle Int. 2009;30(10):928-932.
  12. de Cesar Netto C, Ahrenholz S, PIehl C, et al. Lapicotton technique in the treatment of progressive collapsing foot deformity. J Foot Ankle. 2020;14(3):301-308.
  13. Moerenhout K, Chopra S, Crevoisier X. Outcome of the modified Lapidus procedure for hallux valgus deformity during the first year following surgery: a prospective clinical and gait analysis study. Clin Biomech. 2019;61:205-210.
  14. Kopp FJ, Patel MM, Levine DS, et al. The modified Lapidus procedure for hallux valgus: a clinical and radiographic analysis. Foot Ankle Int. 2005;26(11):913-917.
  15. Jagadale VS, Thomas RL. A clinicoradiological and functional evaluation of Lapidus surgery for moderate to severe bunion deformity shows excellent stable correction and high long-term patient satisfaction. Foot Ankle Spec. 2020;13(6):488-493.
  16. Greeff W, Strydom A, Saragas NP, et al. Radiographic assessment of relative first metatarsal length following modified Lapidus procedure. Foot Ankle Int. 2020;41(8):972-977.
  17. Grimes JS, Coughlin MJ. First metatarsophalangeal joint arthrodesis as a treatment for failed hallux valgus surgery. Foot Ankle Int. 2006;27:887-893.