Surgical/Technical Tips


Avoiding Subluxation of the Calcaneocuboid Joint During Calcaneal Lengthening Osteotomy

Anthony M. Padgett, BS1; Roshan Jacob, MD1; Ashish Shah, MD1; Michael J. Conklin, MD1,2

1University of Alabama at Birmingham, Department of Orthopaedic Surgery, Birmingham, AL; 2Children’s of Alabama, Division of Orthopedic Surgery, Birmingham, AL

Correspondence: Anthony M. Padgett, BS; Lowder Building, Ste. 316, 1600 7th Ave. South, Birmingham, AL 35233. E-mail: [email protected]

Received: August 29, 2022; Accepted: September 25, 2022; Published: November 1, 2022

DOI: 10.55275/JPOSNA-2022-567

Volume 4, Number 4, November 2022

Abstract:

The calcaneal lengthening osteotomy (CLO) is a frequently utilized procedure for the surgical correction of pes planovalgus in the pediatric population. Subluxation of the calcaneocuboid (CC) joint is a well-described and common complication of this operation. In this case report, we propose that intraoperative technique plays a key role in the development of this complication. We recommend pinning the joint with the foot in its natural “deformed” planovalgus position and provide a technical tip to maintain anatomic alignment of the joint.

Key Concepts

  • The CC joint is prone to subluxation during CLO.
  • Intraoperative plantarflexion and inversion of the forefoot to facilitate pinning of the CC joint likely causes dorsal subluxation of the distal calcaneal fragment relative to the cuboid.
  • Advancing the pin across the CC joint in its natural planovalgus position will likely decrease the incidence of CC joint subluxation.
  • Prior to advancing the pin across the CC joint, push up (dorsal) on the cuboid to decrease the risk of subluxation.

Introduction

The calcaneal lengthening osteotomy (CLO), originally described by Dyllwin Evans and further modified by Mosca, is frequently used as a surgical treatment for patients with refractory symptomatic pes planus.1,2

One potential complication of CLO is subluxation of the calcaneocuboid (CC) joint. Mosca recommends pin stabilization of the CC joint prior to distraction of the osteotomy site to mitigate subluxation.2,3 However, some studies have shown no significant difference in rates of subluxation when comparing those that were stabilized with a pin and those that were not.46

The current literature remains inconclusive on the consequences of CC subluxation following CLO. Existing studies do not have adequate follow-up to determine the long-term consequences of joint subluxation.7,8 Therefore, it would seem reasonable to assume that maintaining the joint in anatomic alignment is the most desirable outcome. In this study, we demonstrate a possible mechanism by which this joint subluxation may occur and propose a simple technical tip that may prevent subluxation. Though this tip was elucidated by Mosca, it is the author’s opinion that reiteration of this technical tip is necessary.2

Background

In a recent review of our institutional experience with CLO, we noted a significant number of cases of dorsal subluxation of the distal calcaneal fragment relative to the cuboid and the proximal calcaneus.9 These occurred despite placement of a CC pin through the anatomic center of the joint before distraction of the osteotomy. The senior author personally reviewed all cases of subluxation and carefully evaluated the intraoperative radiographs to determine the sequence of events. From this review, it became apparent that the pins were being placed with the forefoot plantarflexed and inverted to facilitate the starting point of the pin on the dorsal cortex of the cuboid and prevent “skiving.” With the foot in this position, the cuboid is translated plantar to the calcaneus compared to the relationship on the preoperative standing lateral radiograph. Therefore, when the pin is advanced across the CC joint, the “dorsal subluxation” is already present and fixed by the pin. The osteotomy is performed, the calcaneus is distracted, bone graft is impacted, and the pin is advanced retrograde, thus permanently fixing the dorsal subluxation of the distal calcaneal fragment.

Case

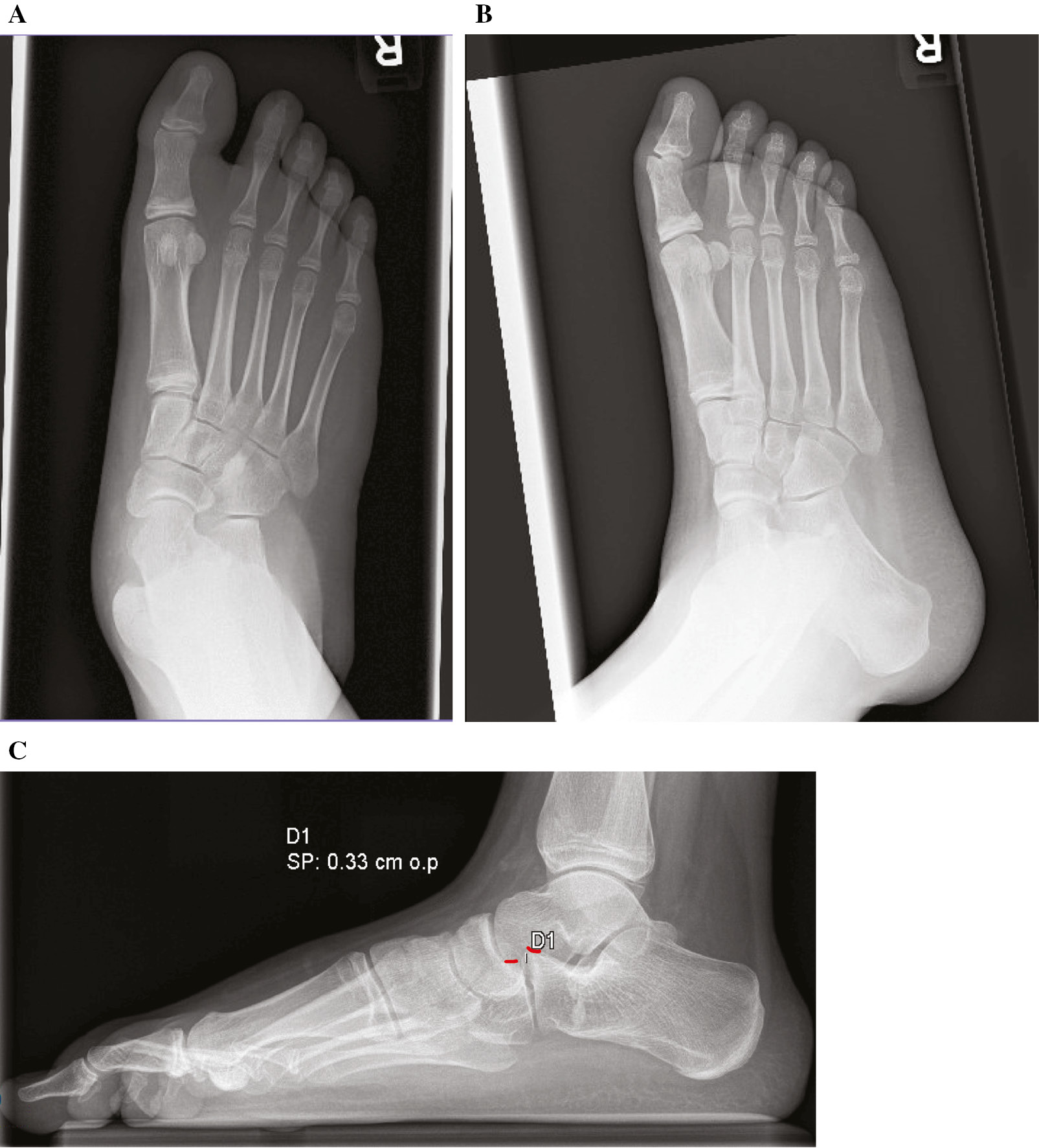
The patient is a 14-year-old male weighing 114.4 kg (>99th percentile) with a history of bilateral symptomatic pes planovalgus unresponsive to multiple modes of conservative treatment over 2 years. Physical examination demonstrates standing right hindfoot valgus and planus. The heel inverts with toe raise. In a subtalar neutral position, ankle dorsiflexion is 15 degrees short of neutral with the knee extended. Radiographs demonstrate planovalgus of the right foot (Figure 1).

Figure 1. (A) AP, (B) oblique, and (C) lateral preoperative radiographs demonstrating pes planovalgus and initial joint alignment of CC joint.

jposna2022567_fig1.jpg

The patient underwent a right lateral column lengthening, peroneus brevis lengthening, posterior tibial tendon and medial talonavicular capsular reefing, and percutaneous Hoke Achilles tendon lengthening. The forefoot was mildly plantarflexed and inverted to facilitate pinning of the CC joint (Figure 2). Notably, the lateral radiograph shows a difference in the CC relationship compared to the preoperative standing radiograph with the cuboid displaced plantar to the distal calcaneus. Postoperatively, he was treated with a short-leg cast and remained non-weight bearing until his 6-week postoperative follow-up at which time the pin was removed and he was transitioned to a controlled ankle motion (CAM) boot and instructed to weight bear as tolerated. Radiographs at that visit still show persistent CC subluxation (Figure 3). At the 12-week postoperative follow-up, the patient is without symptoms referable to the CC joint, but radiographs show persistent subluxation (Figure 4).

Figure 2. Lateral radiograph after pinning of CC joint and before calcaneal osteotomy. Red lines represent dorsum of calcaneus and cuboid.

jposna2022567_fig2.jpg

Figure 3. (A) AP and (B) lateral 6-week postoperative radiographs demonstrating persistent CC joint subluxation.

jposna2022567_fig3.jpg

Figure 4. (A) AP and (B) lateral 12-week postoperative radiographs demonstrating persistent CC joint subluxation following pin removal.

jposna2022567_fig4.jpg

Discussion

Surgical technique is undoubtedly a contributing factor to CC joint subluxation following CLO. The clinical vignette is typical of a patient undergoing CLO who may manifest some degree of CC subluxation. If the surgeon is merely relying on the presence of a CC pin to prevent subluxation but is not attentive to the details originally stressed by Mosca and discussed here, then subluxation can and likely will occur.2,3

CC subluxation is by far the most commonly reported complication following pediatric CLO. In mild cases, this may be a radiographic finding without clinical consequences, but in cases with significant subluxation, the fate of the CC joint long-term is a concern. With a reported incidence as high as 86% in pinned feet, greater attention should be given to preventing this complication.4 Pinning of the CC joint as described by Mosca was intended to prevent this complication.2 However, several studies have reported subluxation despite pin fixation. Adams and colleagues retrospectively reviewed cerebral palsy patients that underwent CLO either with or without CC pinning. They found no difference in the percentage of feet that experienced subluxation between either group when comparing the preoperative, immediate postoperative, and final follow-up films (86% in pinned vs. 91% in unpinned; p = 0.53). Additionally, the degree of subluxation between pinned and unpinned feet was not significantly different.4 Moraleda et al. reported that pinning did not prevent CC subluxation following graft placement compared to those that were not pinned in a retrospective radiographic study.5 A recent cadaver study attempted to determine if pinning of the CC joint prior to calcaneal distraction prevented CC subluxation after placement of the graft. Significant translation of the cuboid was observed in both pinned and unpinned specimens with no significant difference between the groups.6 It should be noted that these studies do not go into further detail about the exact positioning of the foot, and thus the CC joint, at the time of pinning. All previous studies to our knowledge have reported on radiographs taken following graft placement and therefore are unable to determine if the joint was already subluxed prior to graft insertion.

In the typical patient undergoing CLO, there is a difference in the radiographic appearance of the CC joint on the lateral view when comparing the preoperative standing films with intraoperative films with the forefoot plantar flexed. Figure 5 demonstrates the difference in radiographic appearance of the CC joint with dorsiflexion versus plantarflexion force. How much of this radiographic appearance is due to rotation versus plantar translation of the cuboid is debatable, and the placement of two pins has been suggested to mitigate rotatory subluxation of the joint.6

Figure 5. Lateral C-arm radiographs of the foot in a young adult with hypermobile flatfeet (A) with dorsiflexion force and (B) with plantarflexion force. Note the difference in the relative positions of the dorsal cortex of the calcaneus and cuboid (red lines).

jposna2022567_fig5.jpg

Push up on the cuboid! We wish to highlight this important intraoperative technique. It is our supposition that the reason there is no difference in rates of CC subluxation between feet that are pinned and feet that are not is because the joint is pinned with the cuboid already plantar to the distal calcaneus. If the surgeon wants to facilitate starting the pin on the dorsum of the cuboid by mildly plantarflexing the forefoot, then do so. However, before advancing across the CC joint, alter the forces and push up or dorsal on the cuboid (Figure 6). In spite of this technical modification, we still noted mild amounts of CC “subluxation” after osteotomy and graft placement, typically a 1-2 mm difference compared to standing radiographs, that are likely physiologic or rotational, but large amounts of subluxation were not seen.

Figure 6. Lateral C-arm radiograph of the foot in a 17-year-old male undergoing lateral column lengthening. Note thumb pressure (red arrow) pushing up on the plantar aspect of the cuboid as the pin is advanced across the CC joint, preserving a normal relationship of the joint (red lines).

jposna2022567_fig6.jpg

The consequence of CC joint subluxation following CLO in the pediatric population is yet to be determined. While studies have suggested possible resolution of subluxation over time and a lack of evidence for arthritic changes, the follow-up period of these studies has not been adequate to determine the long-term consequences.4,5,7,10 Clinical studies following CLO have demonstrated an increase in lateral plantar pressures, suggesting there may be increased pressure throughout the lateral column due to the windlass effect.1113 Cadaver studies have shown that the CC joint may be prone to increased compressive forces following calcaneal distraction, especially in feet that require larger graft sizes.1416 Therefore, maintaining normal CC alignment through correct pin placement is likely to increase joint longevity.

In conclusion, we present this study to demonstrate the potential for surgeon error when performing the CLO. The CC joint is prone to subluxation at the time of lateral column lengthening. Advancing the pin across the CC joint with the foot in its “deformed” or planovalgus position, which is accentuated by pushing up on the cuboid, and confirming that the normal CC position is maintained after advancing the pin can likely decrease the incidence of CC subluxation. Further studies on case series using this technique will be necessary to determine whether some cases of CC subluxation will occur despite strict adherence to the surgical recommendations presented here.

Additional Links

Disclaimer

No funding was received for this study. The authors have no conflicts of interest to report.

References

  1. Evans D. Calcaneo-valgus deformity. J Bone Joint Surg Br. 1975;57(3):270–278.
  2. Mosca VS. Calcaneal lengthening for valgus deformity of the hindfoot. Results in children who had severe, symptomatic flatfoot and skewfoot. J Bone Joint Surg Am. 1995;77(4):500-512.
  3. Bouchard M, Mosca VS. Flatfoot deformity in children and adolescents: surgical indications and management. J Am Acad Orthop Surg. 2014;22(10):623-632.
  4. Adams SB, Jr., Simpson AW, Pugh LI, et al. Calcaneocuboid joint subluxation after calcaneal lengthening for planovalgus foot deformity in children with cerebral palsy. J Pediatr Orthop. 2009;29(2):170-174.
  5. Moraleda L, Salcedo M, Bastrom TP, et al. Comparison of the calcaneo-cuboid-cuneiform osteotomies and the calcaneal lengthening osteotomy in the surgical treatment of symptomatic flexible flatfoot. J Pediatr Orthop. 2012;32(8):821-829.
  6. Siebert M, Hedrick BN, Zide JR, et al. Do we really need to worry about calcaneocuboid subluxation during lateral column lengthening for planovalgus foot deformity? J Pediatr Orthop. 2021;41(3):e246-e251.
  7. Marengo L, Canavese F, Mansour M, et al. Clinical and radiological outcome of calcaneal lengthening osteotomy for flatfoot deformity in skeletally immature patients. Eur J Orthop Surg Traumatol. 2017;27(7):989-996.
  8. Zeifang F, Breusch SJ, Doderlein L. Evans calcaneal lengthening procedure for spastic flexible flatfoot in 32 patients (46 feet) with a followup of 3 to 9 years. Foot Ankle Int. 2006;27(7):500-507.
  9. Torrez TW, Kothari EA, Seidenstein AH, et al. Analysis of Risk Factors for Non-union in Pediatric Lateral Column Lengthening. J Pediatr Orthop B. Accepted ahead of print.
  10. Dunn SP, Meyer J. Displacement of the anterior process of the calcaneus after Evans calcaneal osteotomy. J Foot Ankle Surg. 2011;50(4):402-406.
  11. Oh I, Imhauser C, Choi D, et al. Sensitivity of plantar pressure and talonavicular alignment to lateral column lengthening in flatfoot reconstruction. J Bone Joint Surg Am. 2013;95(12):1094-1100.
  12. Ellis SJ, Yu JC, Johnson AH, et al. Plantar pressures in patients with and without lateral foot pain after lateral column lengthening. J Bone Joint Surg Am. 2010;92(1):81-91.
  13. Jara ME. Evans osteotomy complications. Foot Ankle Clin. 2017;22(3):573-585.
  14. Cooper PS, Nowak MD, Shaer J. Calcaneocuboid joint pressures with lateral column lengthening (Evans) procedure. Foot Ankle Int. 1997;18(4):199-205.
  15. Momberger N, Morgan JM, Bachus KN, et al. Calcaneocuboid joint pressure after lateral column lengthening in a cadaveric planovalgus deformity model. Foot Ankle Int. 2000;21(9):730-735.
  16. Xia J, Zhang P, Yang YF, et al. Biomechanical analysis of the calcaneocuboid joint pressure after sequential lengthening of the lateral column. Foot Ankle Int. 2013;34(2):261-266.