POSNA extends sincere appreciation to OrthoPediatrics for their support of the May edition of JPOSNA®.

Published: 2022-05-01

The Pediatric Orthopaedic Society of North America: Where Are We Now?

Heather Kong, Zachary Meyer, Oussama Abousamra, Sarah Nossov, Scott B. Rosenfeld, POSNA History & Archives Committee

Coding Challenges in Common Pediatric and Adolescent Hip Preservation Procedures

David D. Spence, Sarah Wiskerchen, Christopher A. Makarewich, Alfred A. Mansour III, Courtney M. Selberg, Geovanny F. Oleas-Santillan, Jonathan R. Schiller, Grant D. Hogue, POSNA QSVI Hip/Lower Extremity Committee

Estimating Skeletal Age in Children: A Comprehensive Anatomic Approach

Current Concept Review

Evan W. Beatty, Tasha L. McAbee, Andrew T. Pennock, Mininder S. Kocher, Benton E. Heyworth

#PediPodsOnline: Social Media Use in Pediatric Orthopaedic Surgery

Current Concept Review

Philip Nowicki, Craig Louer Jr., Corinna Franklin, Carter Clement, POSNA Public Education and Media Relations Committee

The Pin: An Orthopaedic Transformation

Current Concept Review

Sarah E. Lindsay, Stephanie Holmes, Jonas Owen, Ishaan Swarup, Matthew Halsey

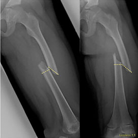
Over-Reaming the Humerus to Place an IM Lengthening Nail

Quality Improvement Case Series

Achraf Jardaly, Timothy W. Torrez, Ezan A. Kothari, Nicholas A. Andrews, Shawn R. Gilbert

Raising the Young Athlete: Training and Injury Prevention Strategies

Current Concept Review

Nicholas Bank, Christian Hecht, Amir Karimi, Mohamed El-Abtah, Lauren Huang, R. Justin Mistovich