Fibrous Dysplasia: Recent Developments and Modern Management Alternatives Current Concept Review

Main Article Content

Soroush Baghdadi
Alexandre Arkader

Abstract

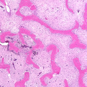
Fibrous dysplasia is a benign skeletal lesion that may present in monostotic or polyostotic forms, as well as associated with McCune-Albright syndrome. Mutation of the GNAS gene is responsible for the development of fibrous dysplasia. Pain, limp, deformity, and fractures are the main presenting symptoms. While any bone might be affected, proximal femoral involvement is the most problematic from an orthopaedic standpoint. Although medical treatment to limit the disease burden is available for the polyostotic disease, the mainstay of treatment in symptomatic cases is surgery. This current concept review is aimed at a comprehensive review of the current literature and recent developments in our understanding of fibrous dysplasia and novel treatments, with a focus on orthopaedic manifestations, particularly proximal femur deformity. We also explore the role of state-of-the-art technologies, including 3D printing, in the modern management of fibrous dysplasia.

Article Details

How to Cite
Baghdadi, S., & Arkader, A. (2020). Fibrous Dysplasia: Recent Developments and Modern Management Alternatives: Current Concept Review. Journal of the Pediatric Orthopaedic Society of North America, 2(2). https://doi.org/10.55275/JPOSNA-2020-84
Section
Tumor