Published: 2020-08-01

Health Economics in Pediatric Orthopaedic Surgery

Sebastian Orman, Edward J. Testa, Shyam A. Patel, Neill Y. Li, Peter D. Fabricant, Jeffrey A. Rihn, Aristides I. Cruz Jr.

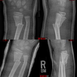
A Quality Improvement Initiative to Reduce Radiation Dose During Cast Treatment for Infantile Scoliosis

Joseph Khoury, Cheryl Lawing, Maureen Maciel, Kyle Achors, Fontenot Philip

Pediatric Patellofemoral Instability: Beyond the MPFL

Current Concept Review

Kenneth M. Lin, Alexandra T. Mackie, Alexandra H. Aitchison, Aristides I. Cruz Jr., Corinna C. Franklin, Joseph T. Molony Jr., Kevin G. Shea, MD, Daniel W. Green, Peter D. Fabricant

Management of Fixed Dislocation of the Patella

Current Concept Review

Casey M. Imbergamo, Ryan P. Coene, Matthew D. Milewski

Acquired Distal Femoral Deformity After MPFL Reconstruction

Don’t Do This Case Report

Arianna Trionfo, Alay Shah, Amirhossein Misaghi, Alexandre Arkader

Keys to Building a Successful Pediatric Limb Reconstruction Program

Christopher A. Iobst, Mark T. Dahl, John G. Birch, Alexander M. Cherkashin, Mikhail L. Samchukov

"Satisfaction of Search" Never Stop Looking -- Before and After Surgery

Current Concept Review

Daniel Y. Hong, Stephanie N. Moore-Lotridge, John J. Block, Hernan Correa, Jennifer L. Halpern, Ginger E. Holt, Christopher Stutz, Jeffrey E. Martus, Tim Schrader, Jonathan G. Schoenecker